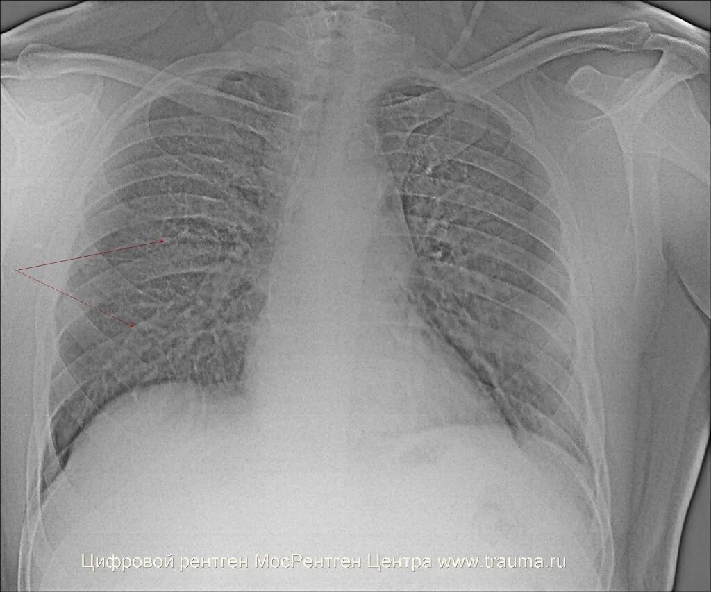
Ээд легких