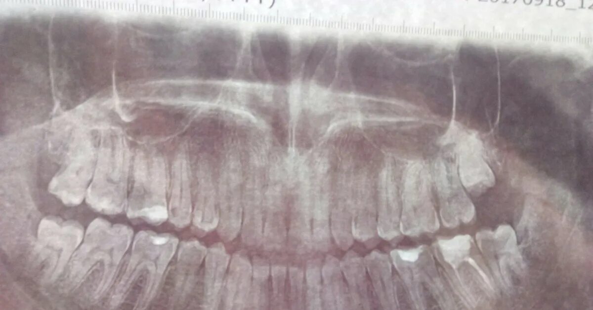
Eight teeth