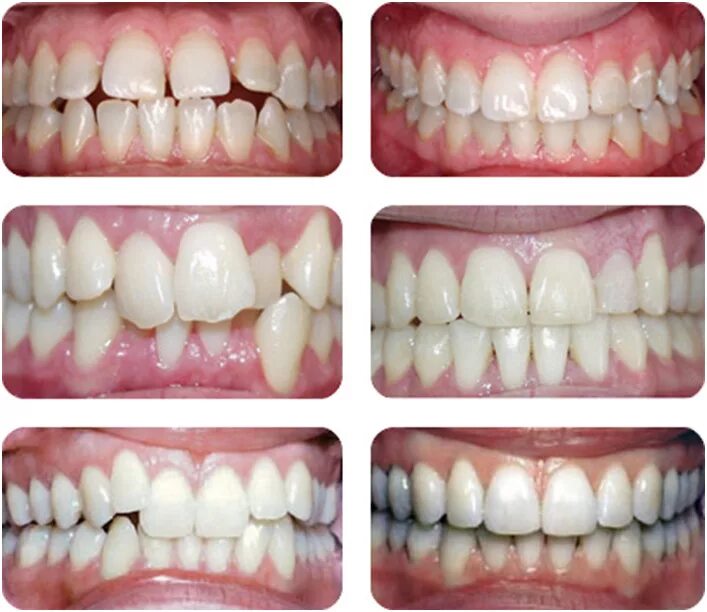
Элайнеры глубокий прикус