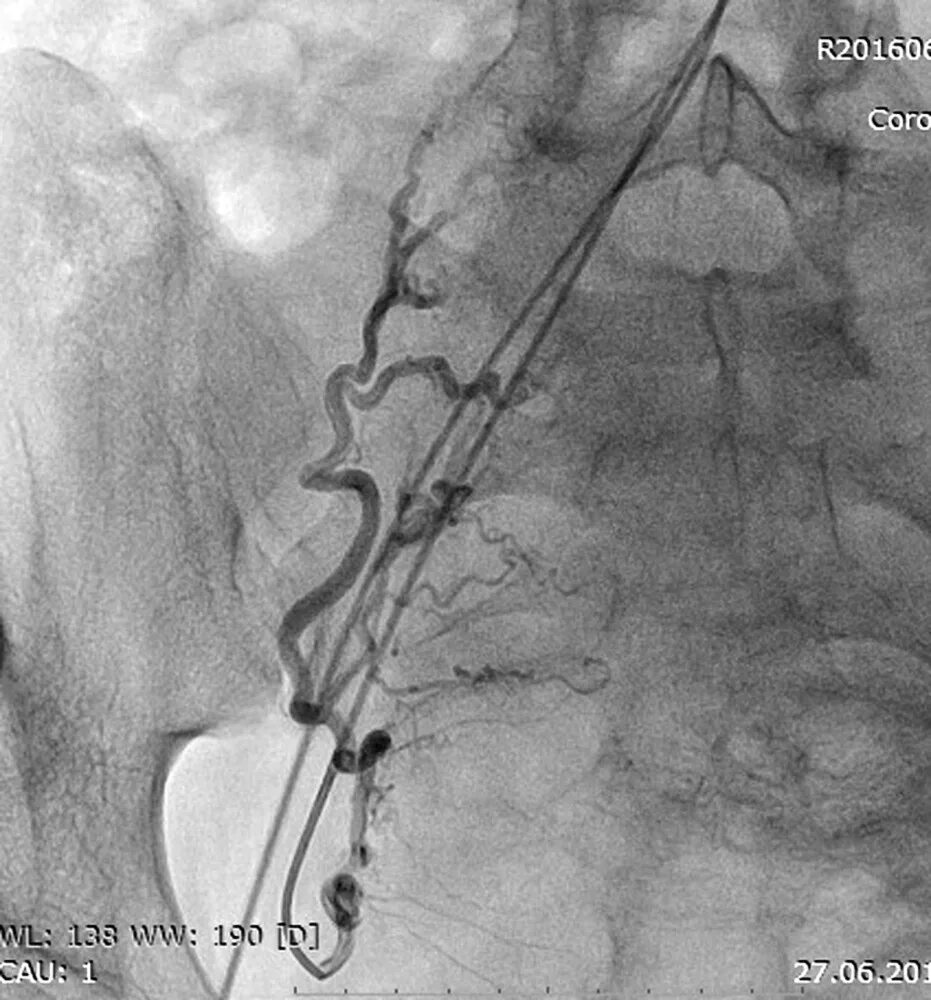
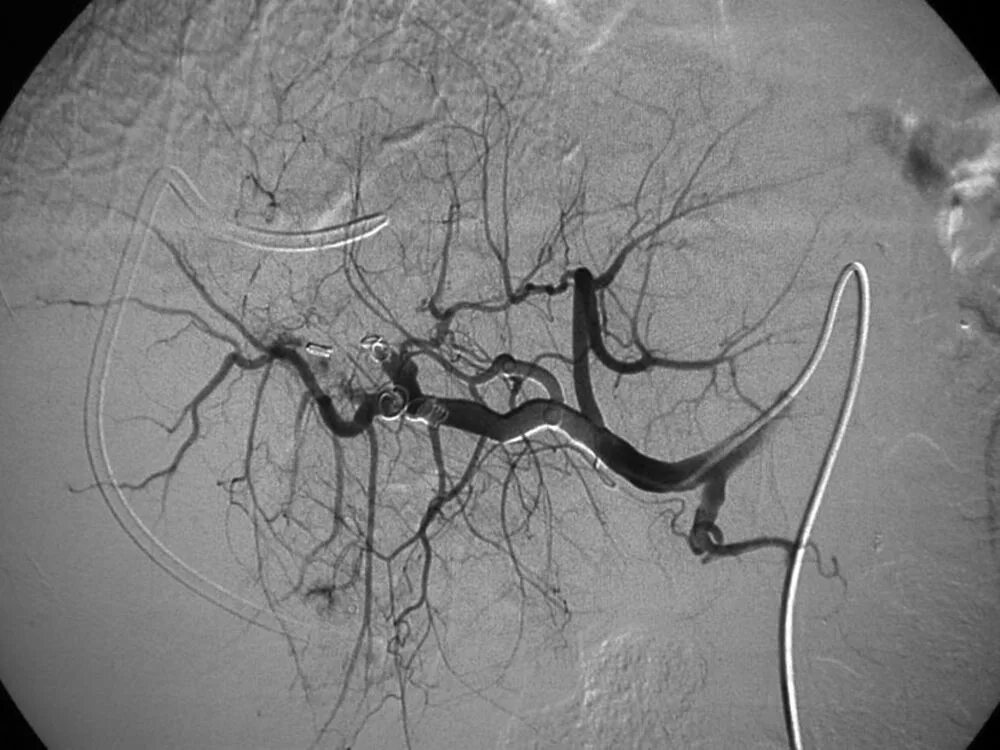
Эмболизация