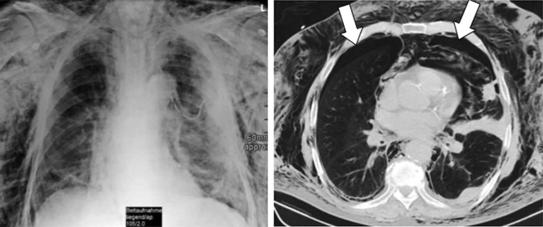
Эмфизема мягких