Главная
»
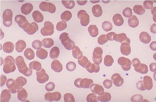
Эритроциты микроскопия повышены
Эритроциты микроскопия повышены. Монетные столбики эритроцитов. монетные столбики эритроцитов стаз. склеенные эритроциты. эритроциты под микроскопом.
« Предыдущее
49 / 75
Следующее »