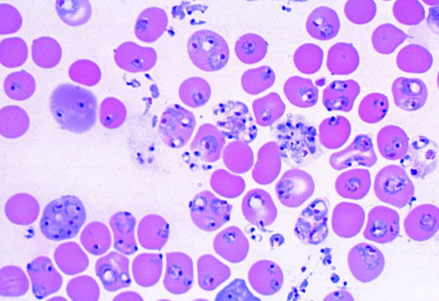
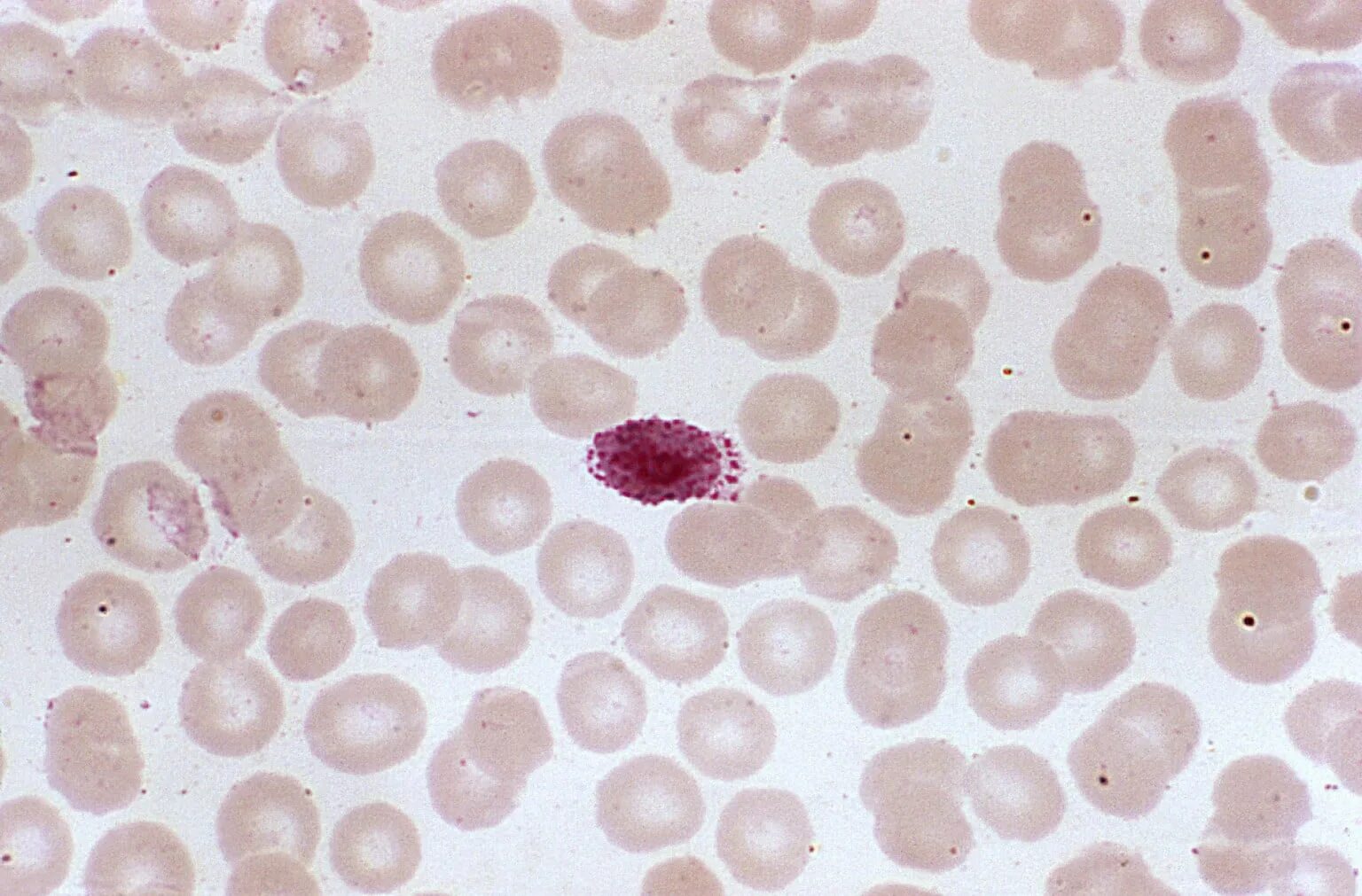
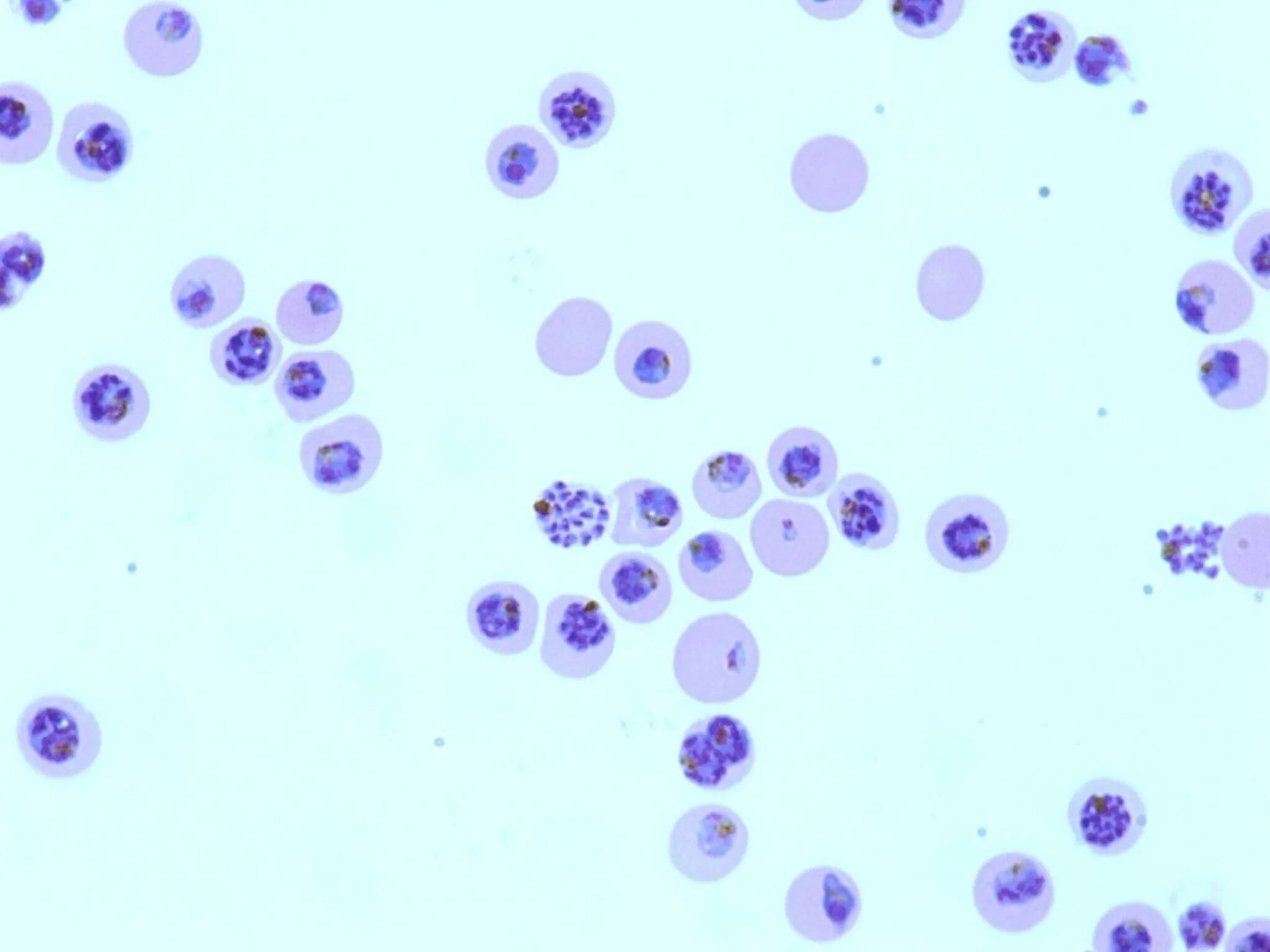
Эритроциты плазмодий