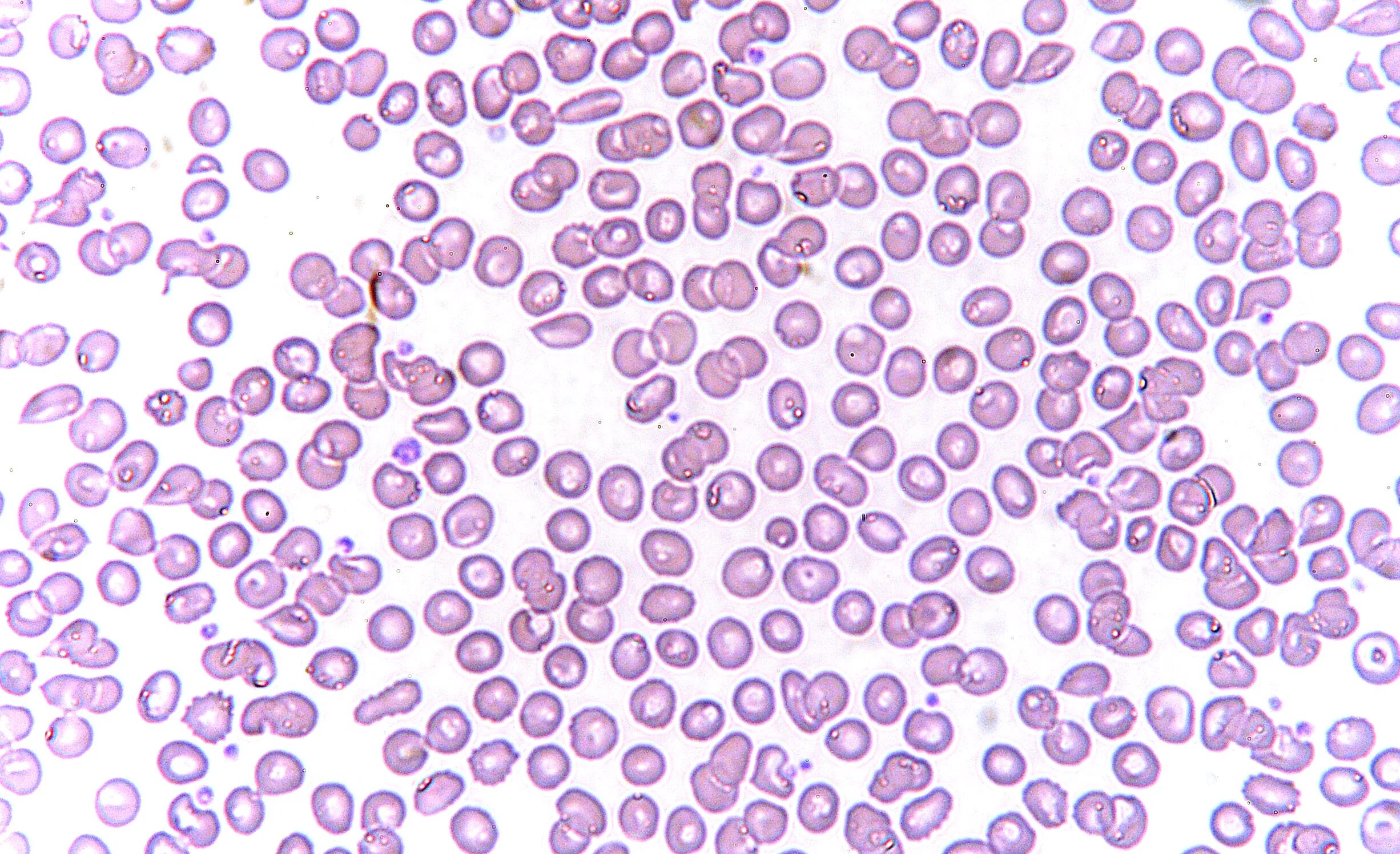
Эритроциты у кошки