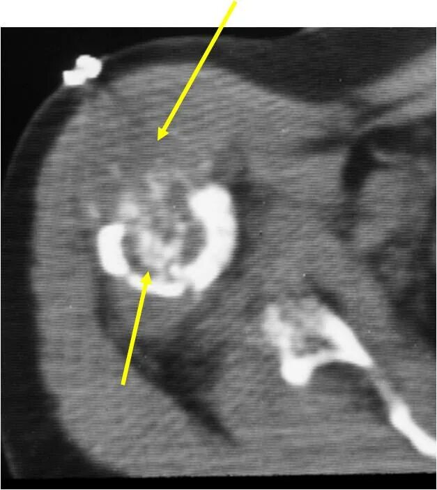
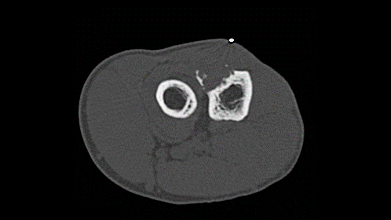
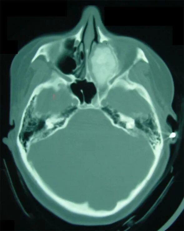
Фиброма кт