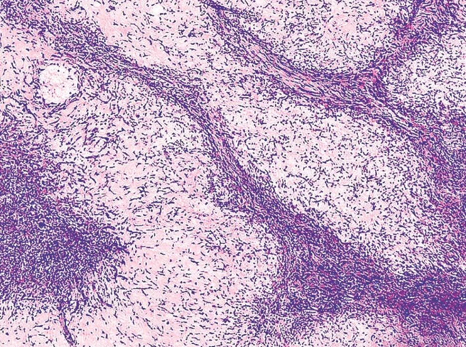
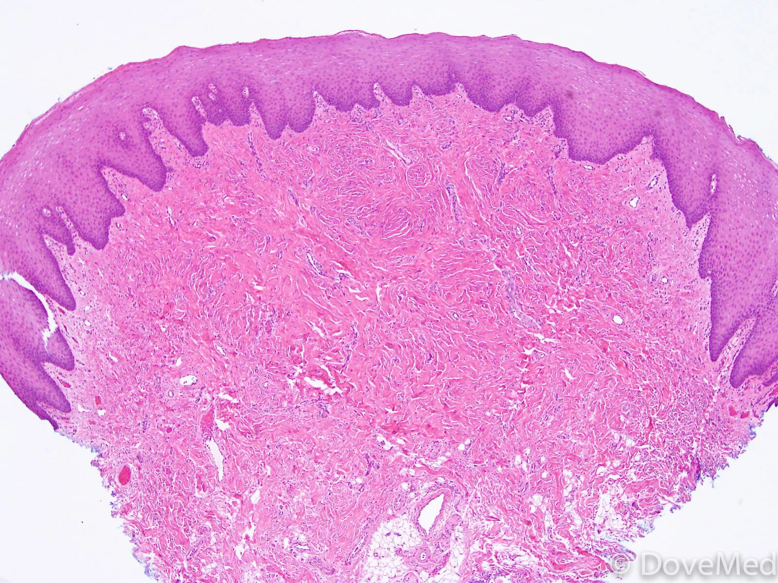
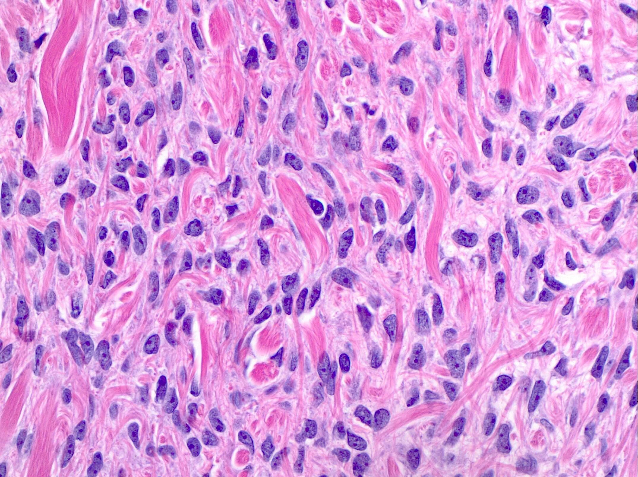
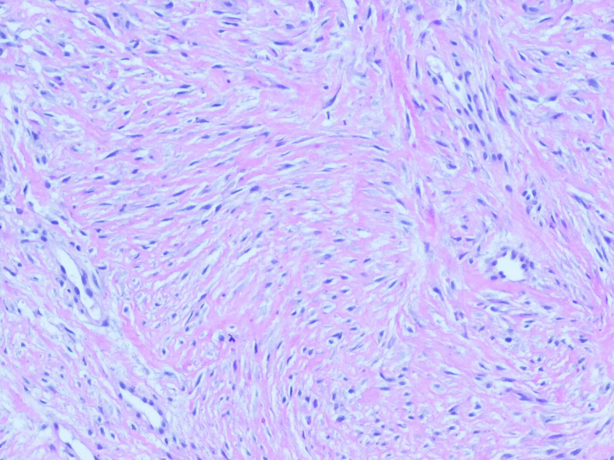
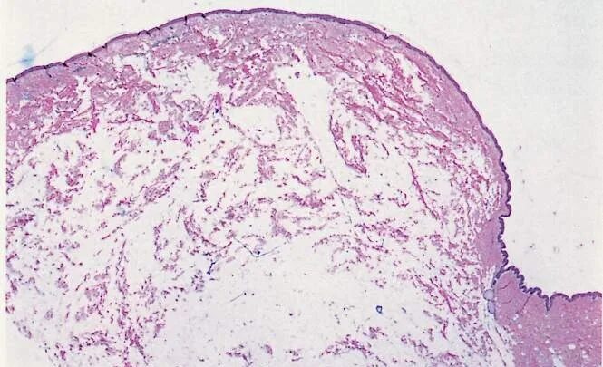
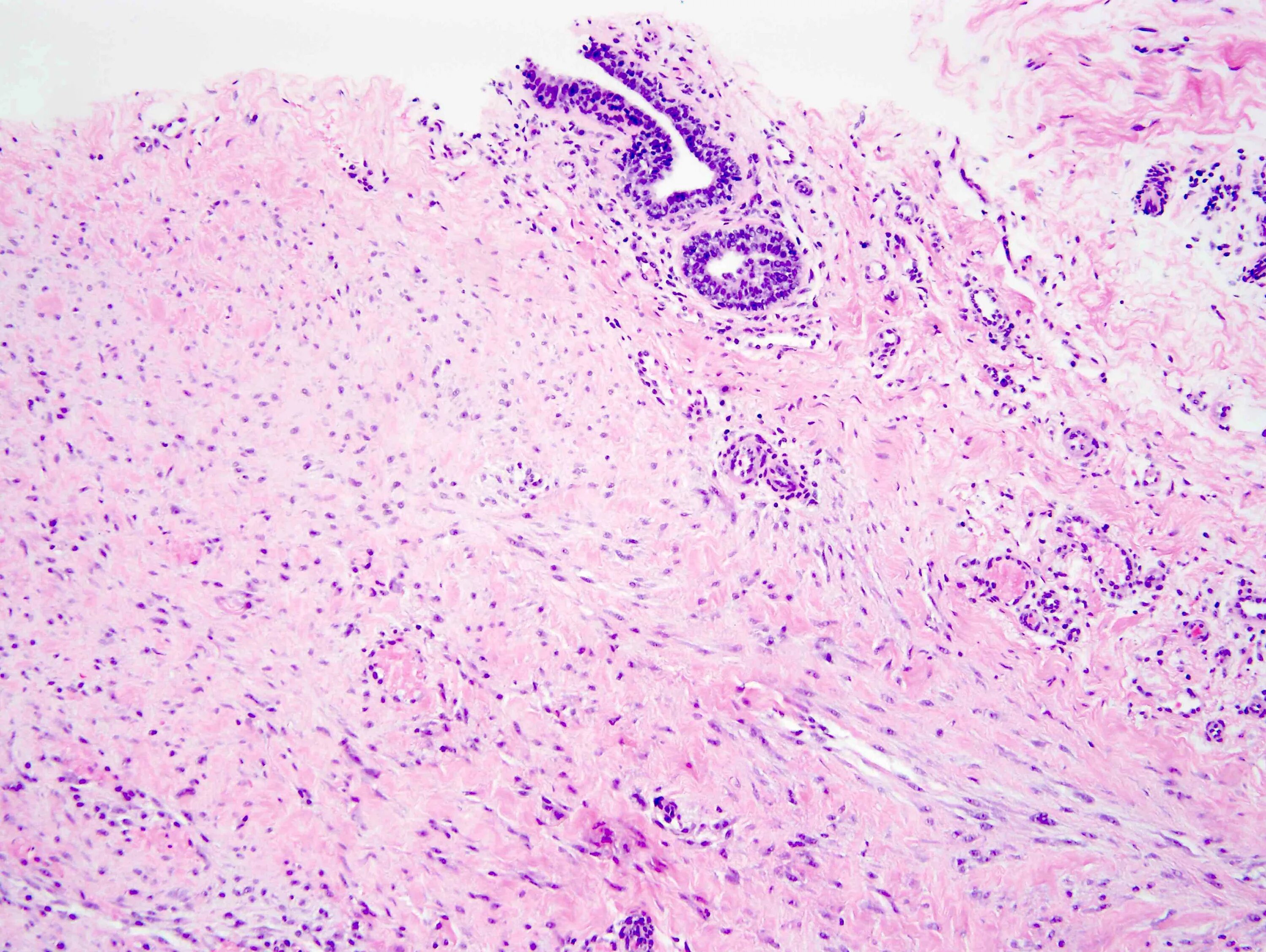
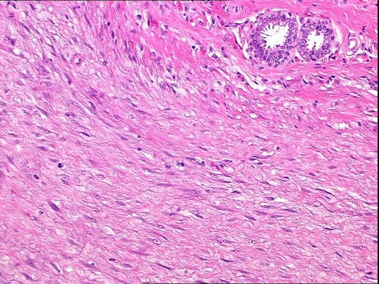
Фиброматоз мягких