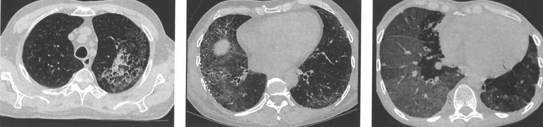
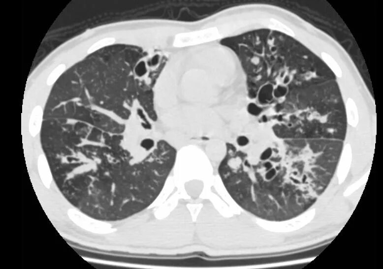
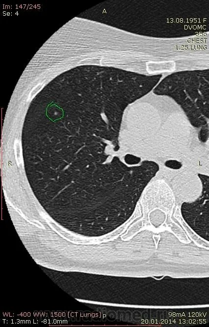
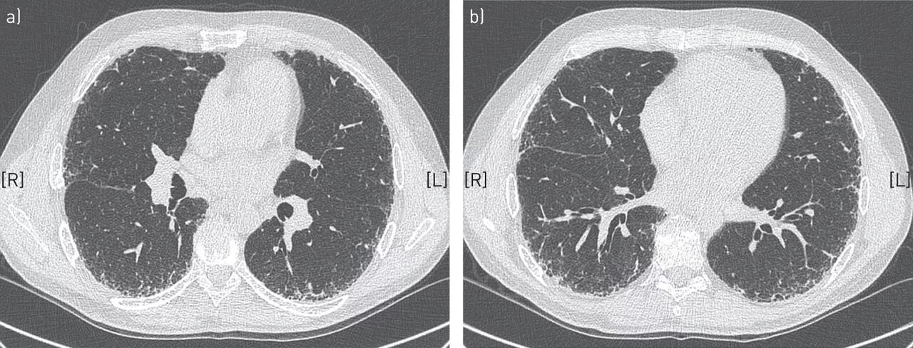
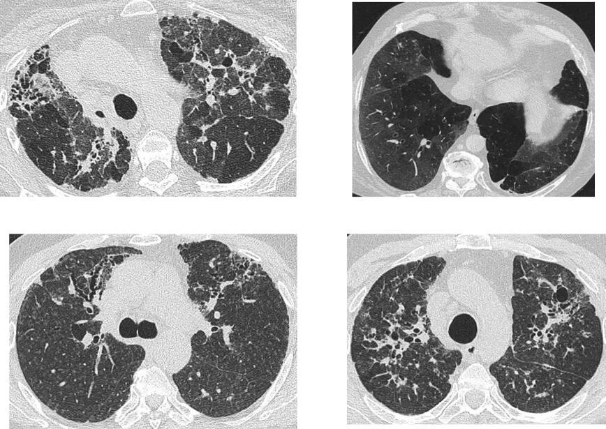
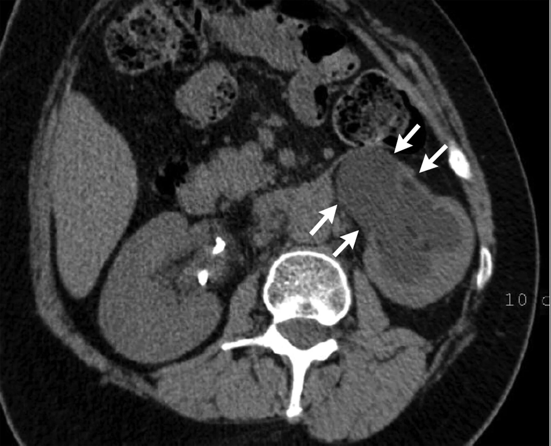
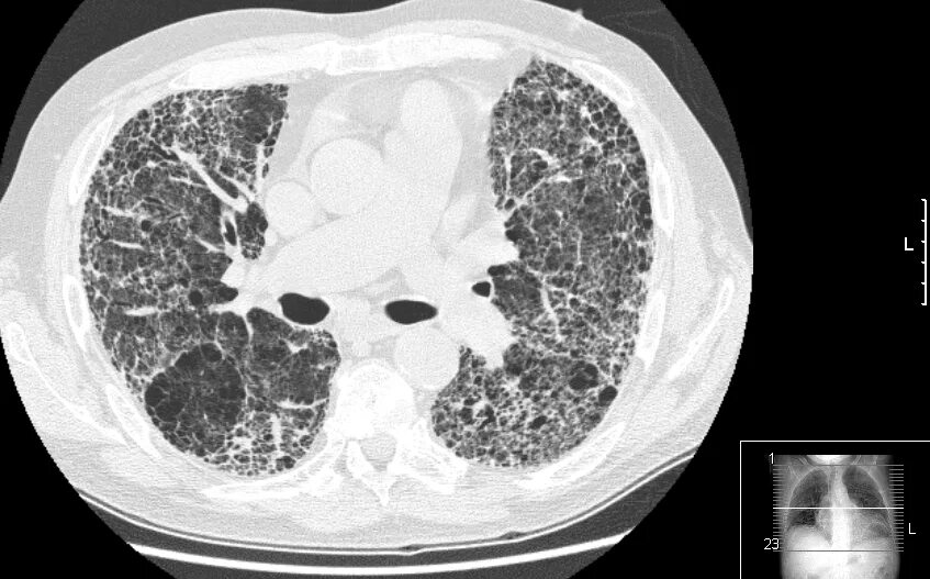
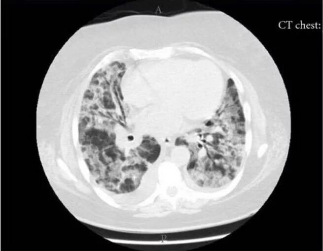
Фиброз кт