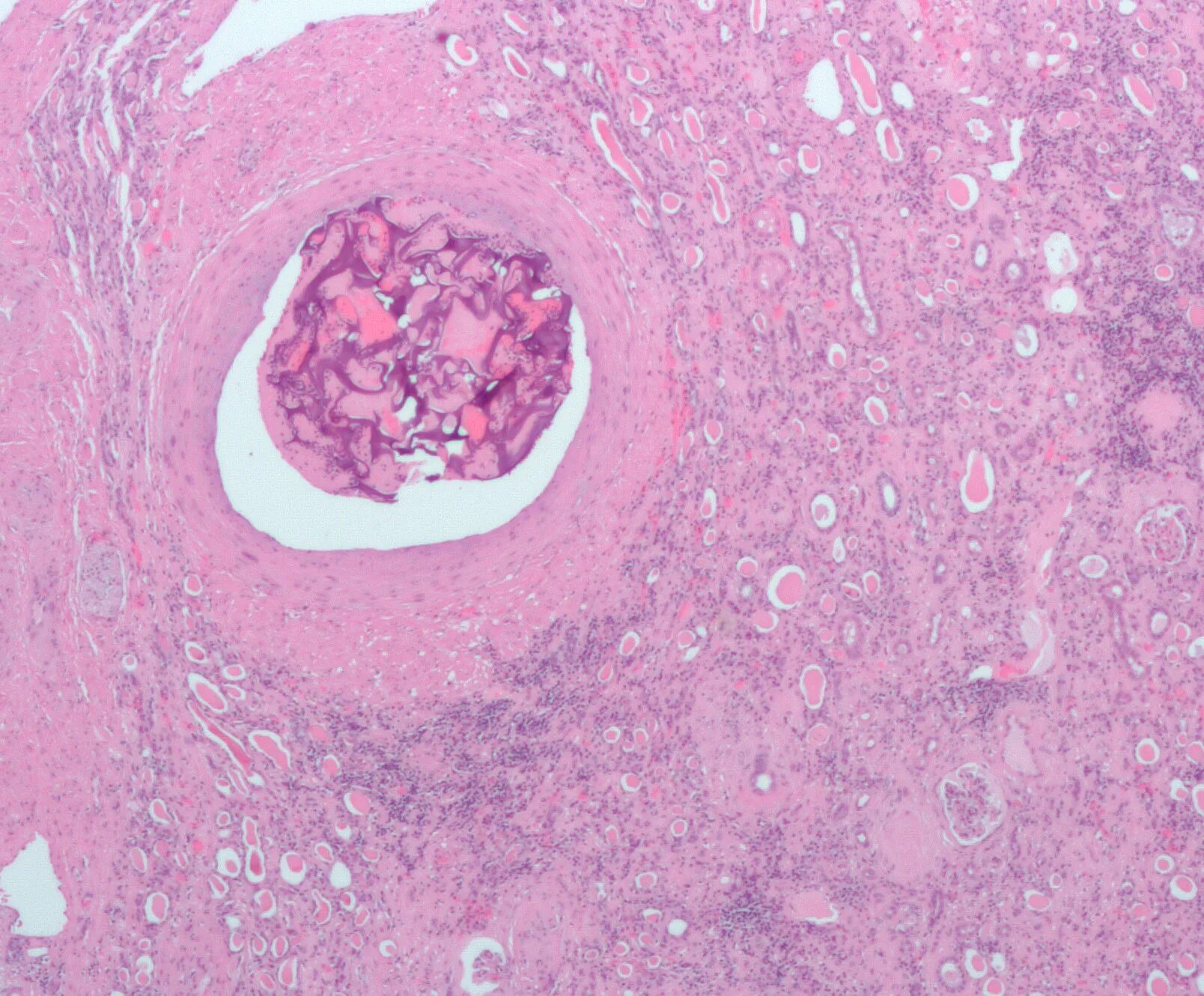
Фиброзно хрящевая эмболия у собак