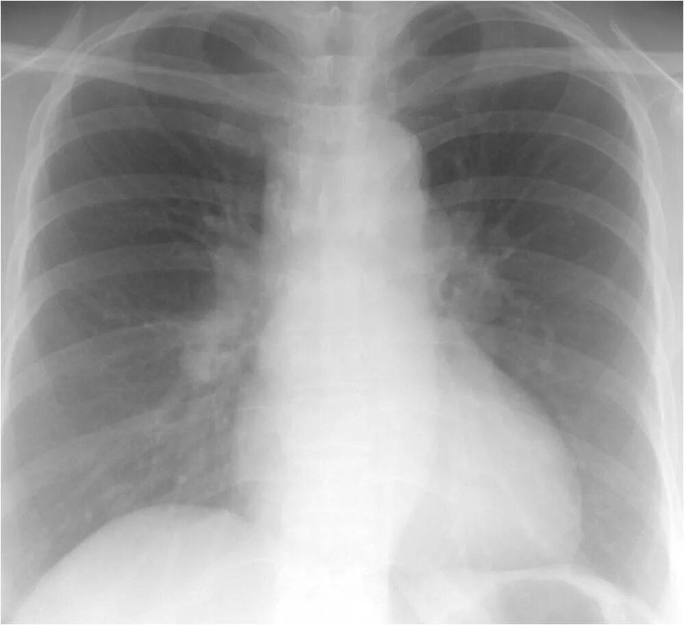
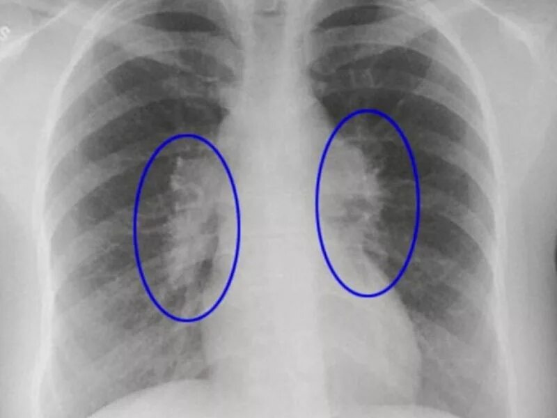
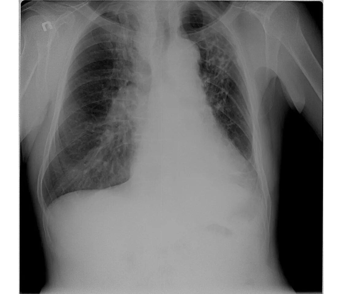
Фиброзное изменение левого легкого