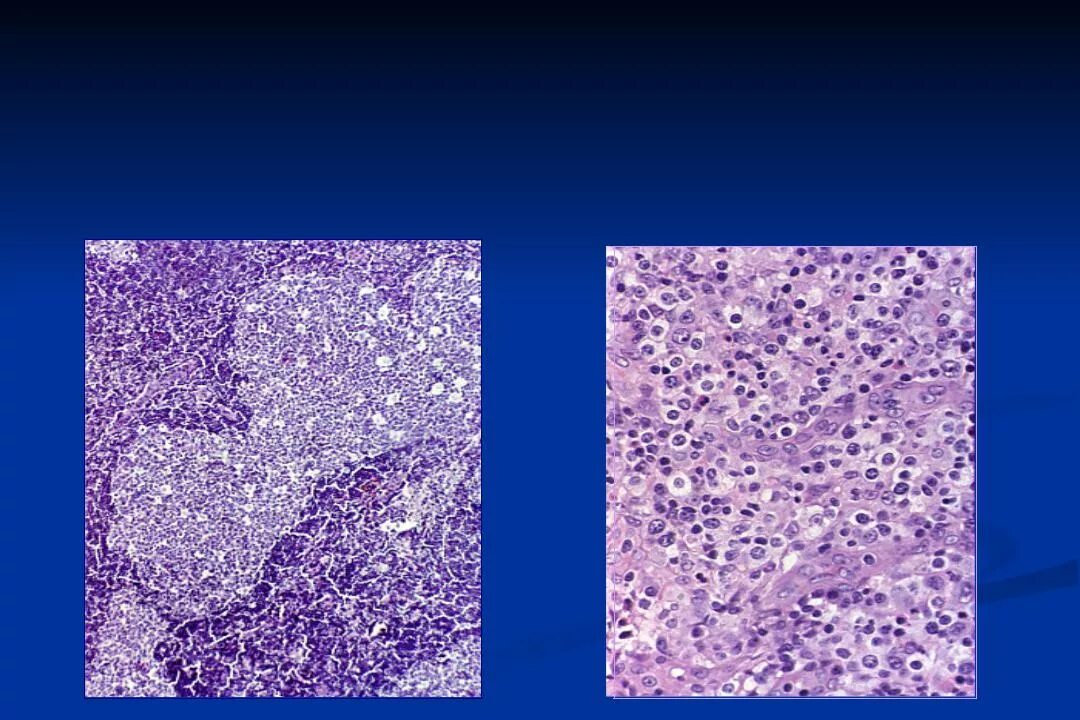
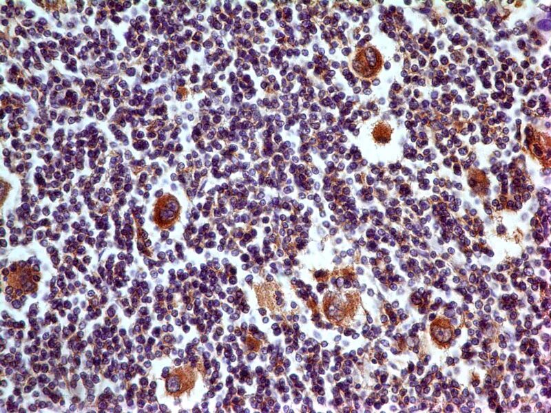
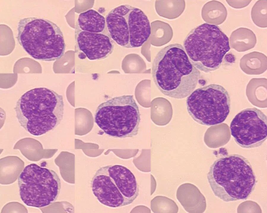
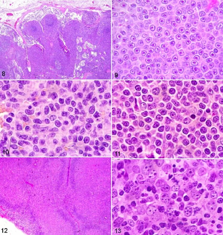
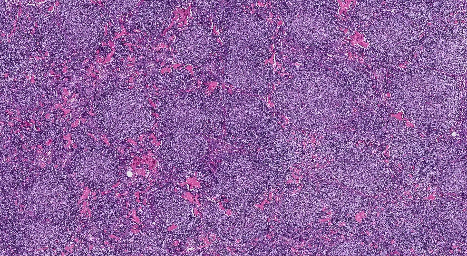
Фолликулярная лимфома стадии