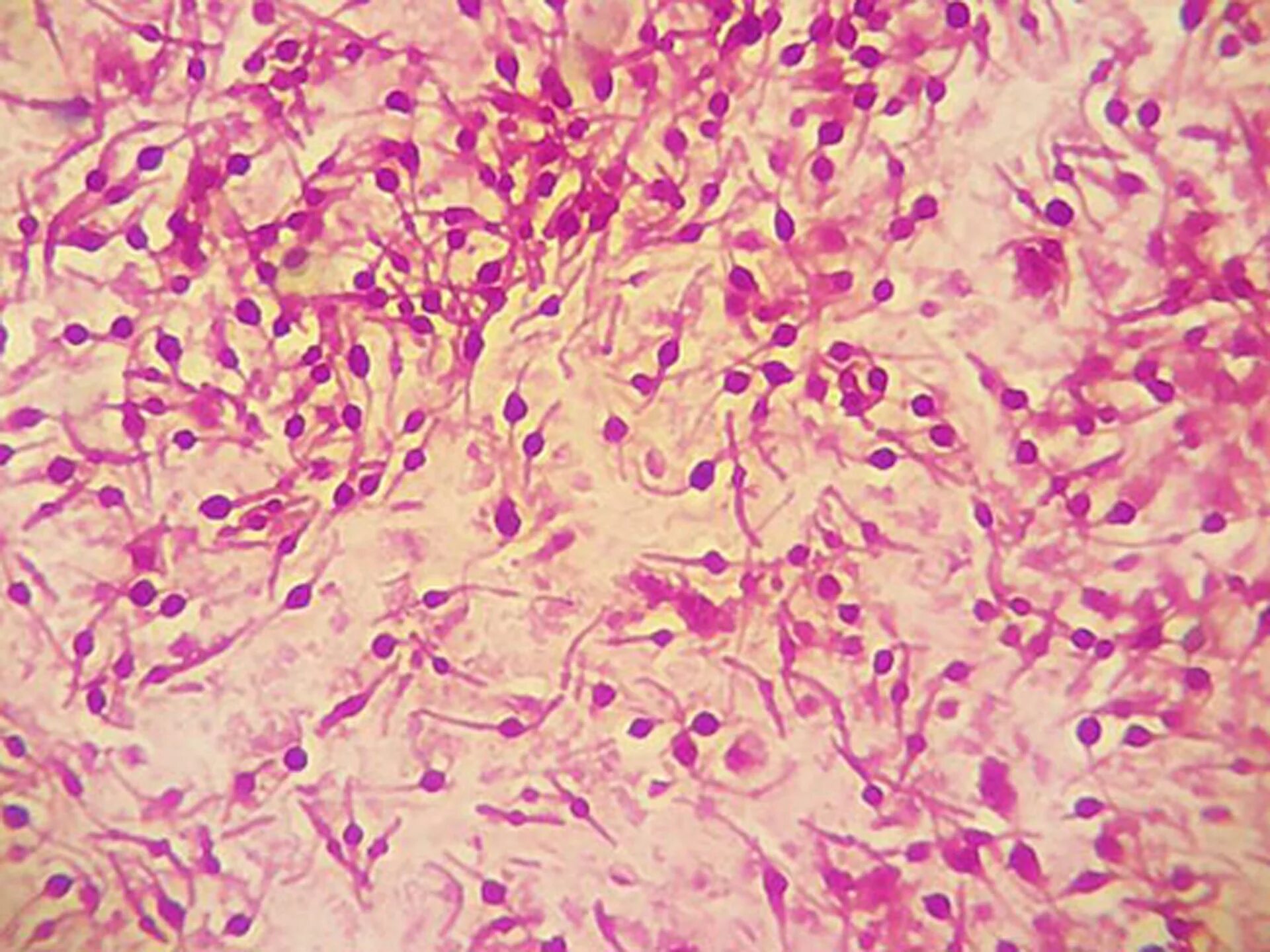
Fusobacterium spp