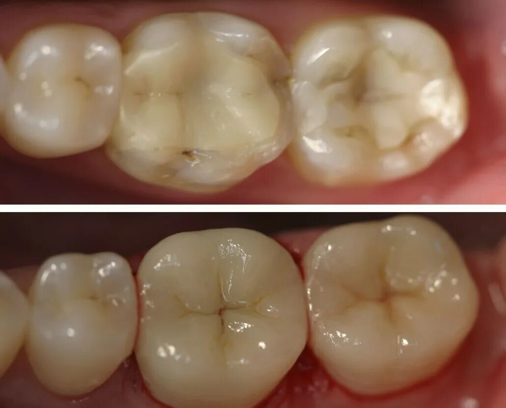
Гарантия платной пломбы