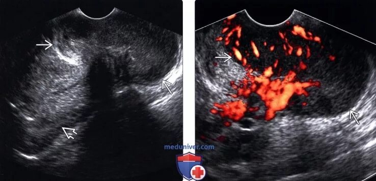
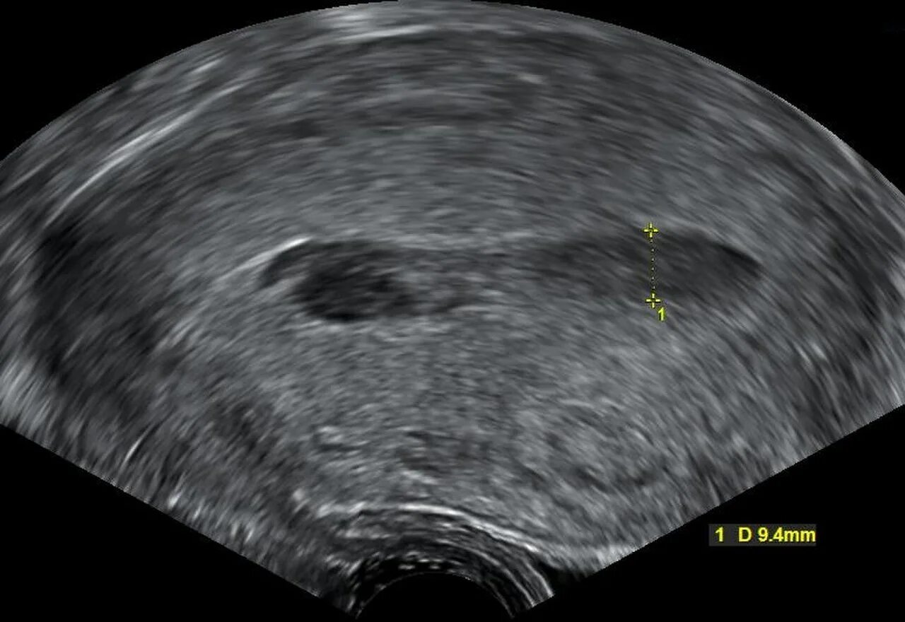
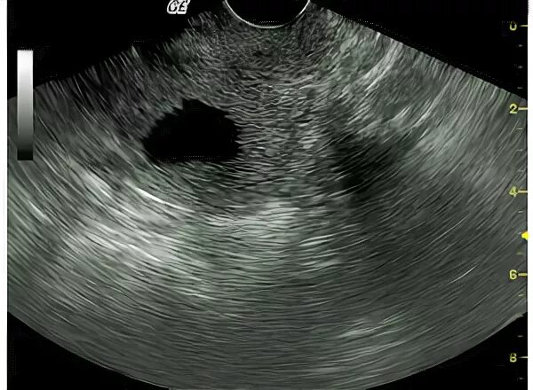
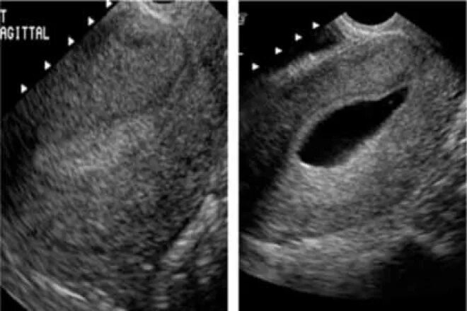
Гематометра симптомы