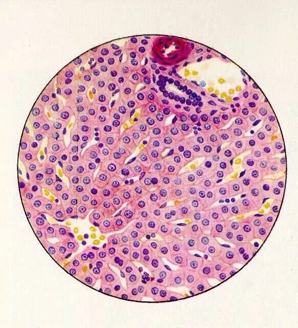
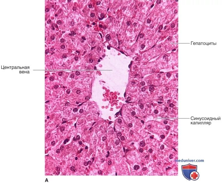
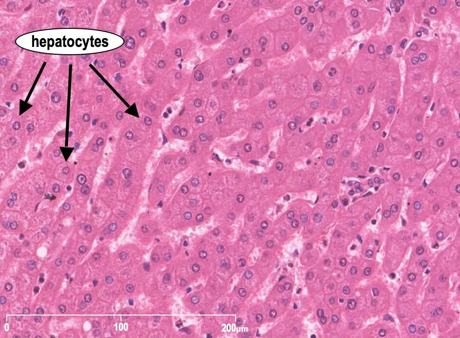
Гепатоциты человека