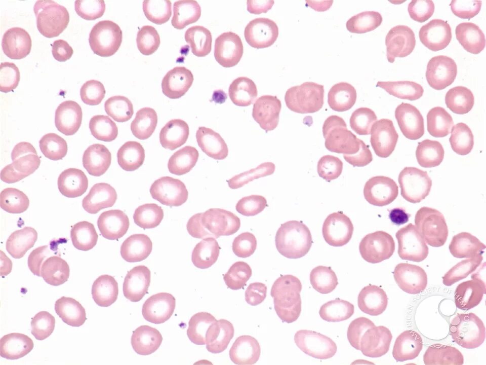
Гипохромия выраженная