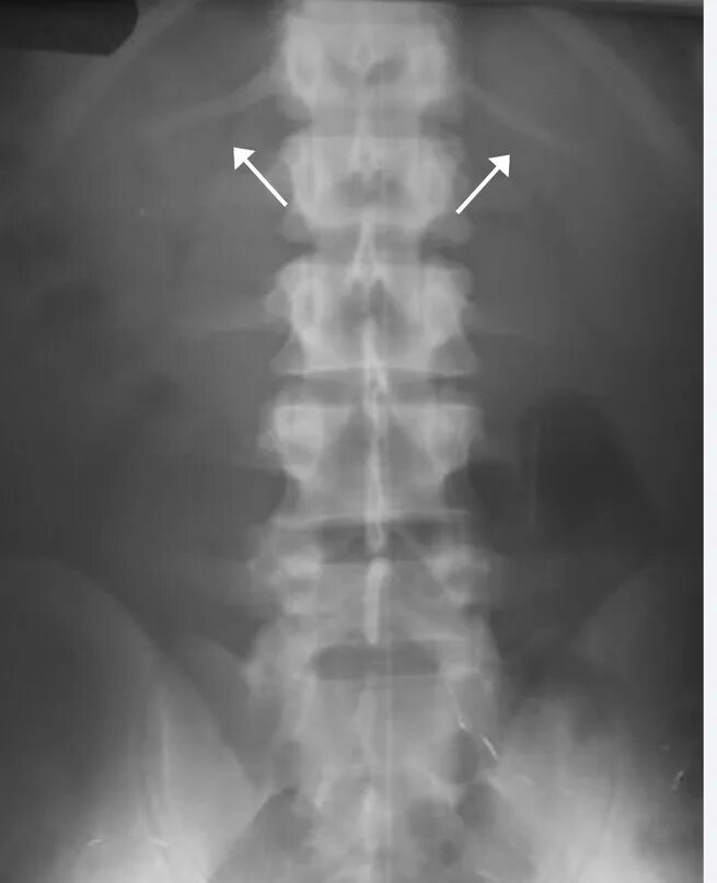
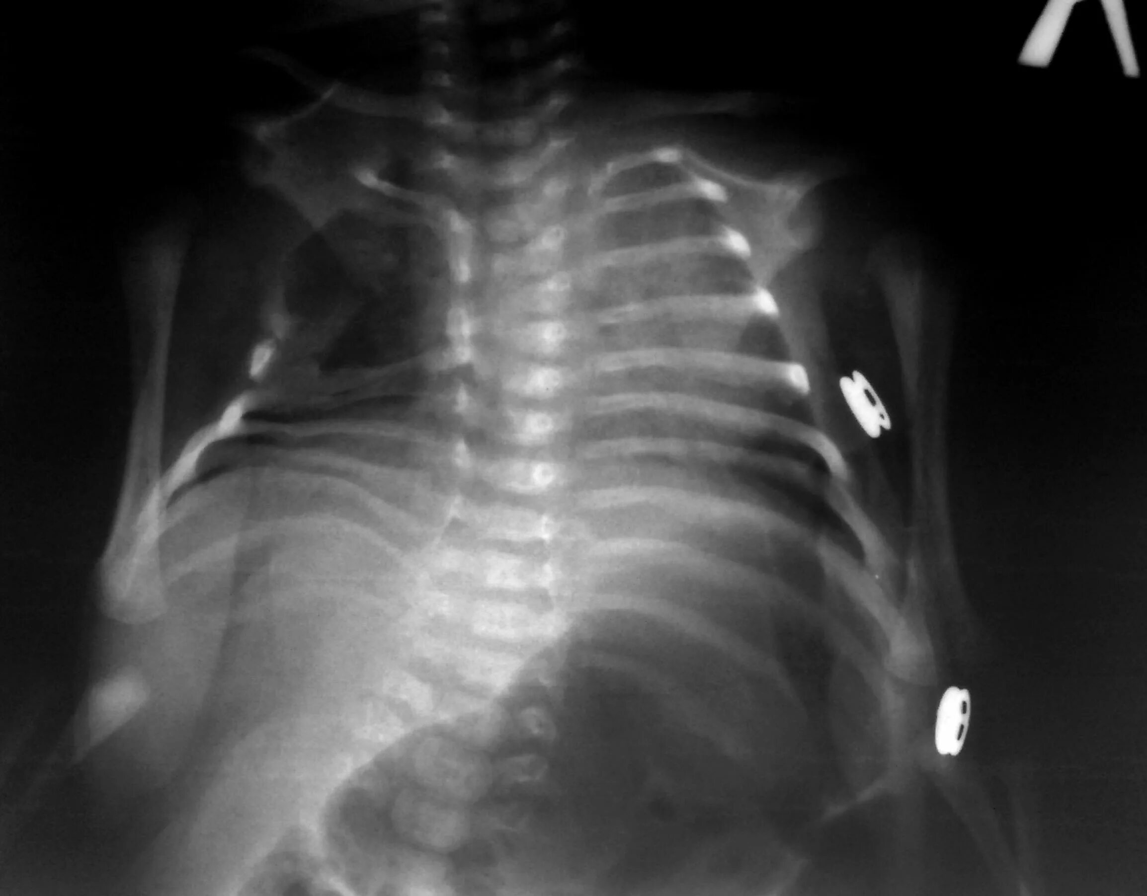
Гипоплазия 12 пары ребер