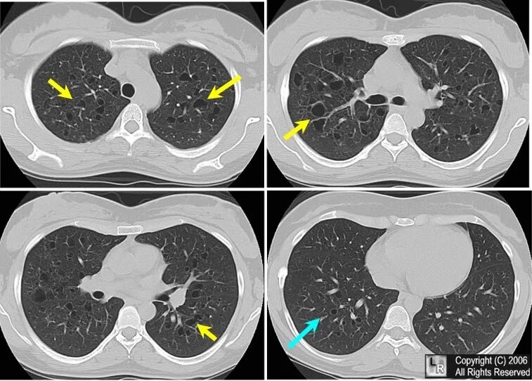
Гистиоцитоз легких