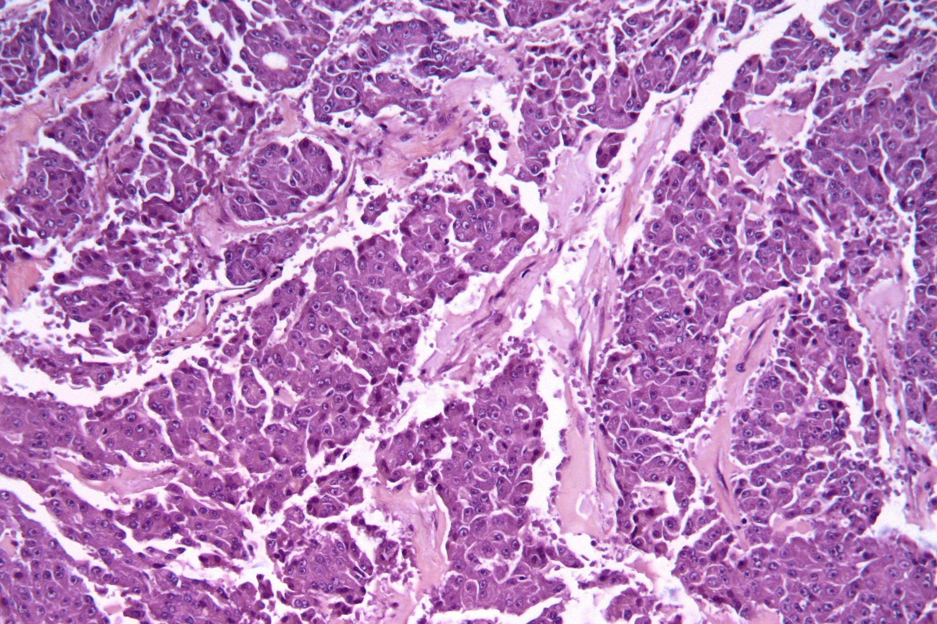
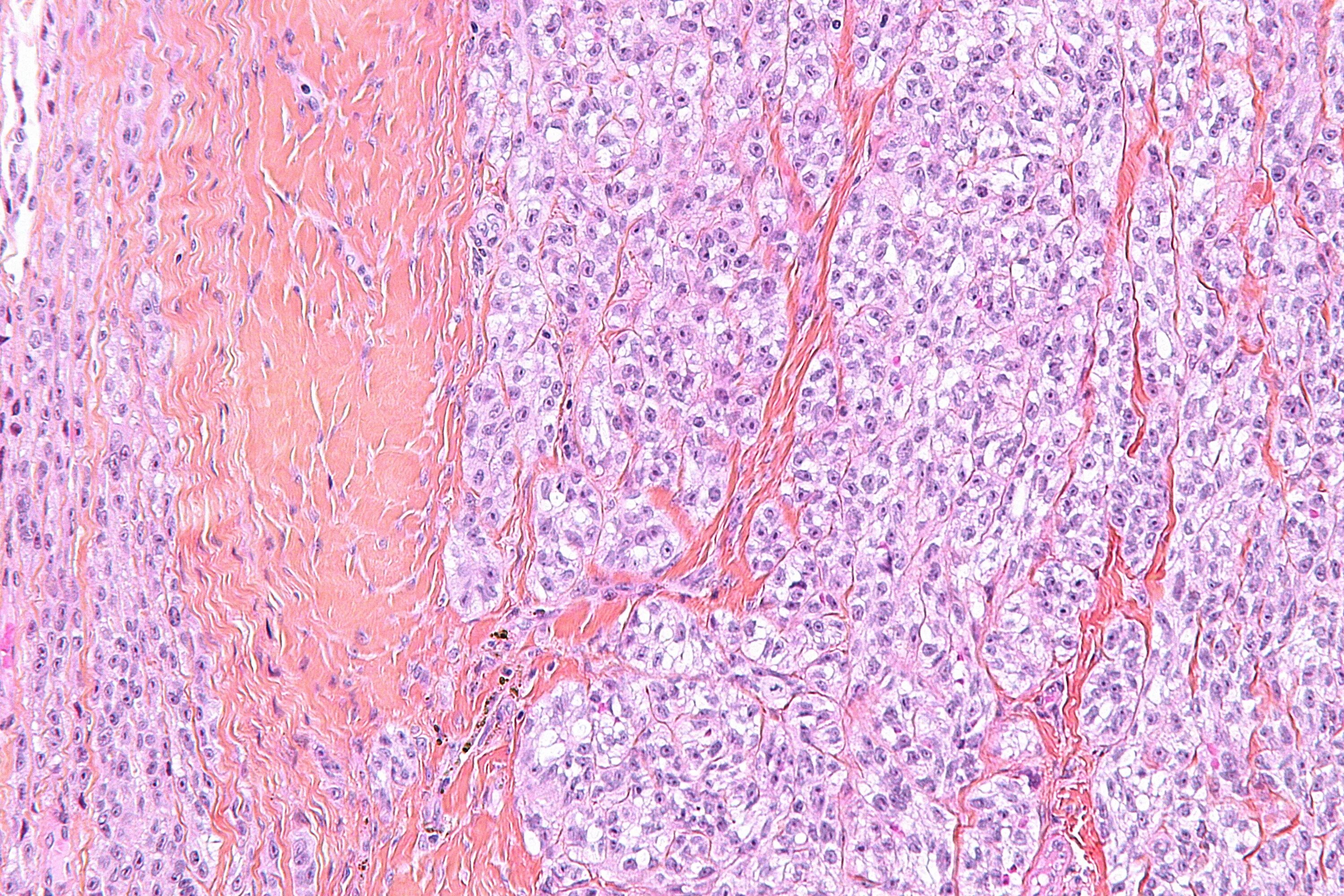
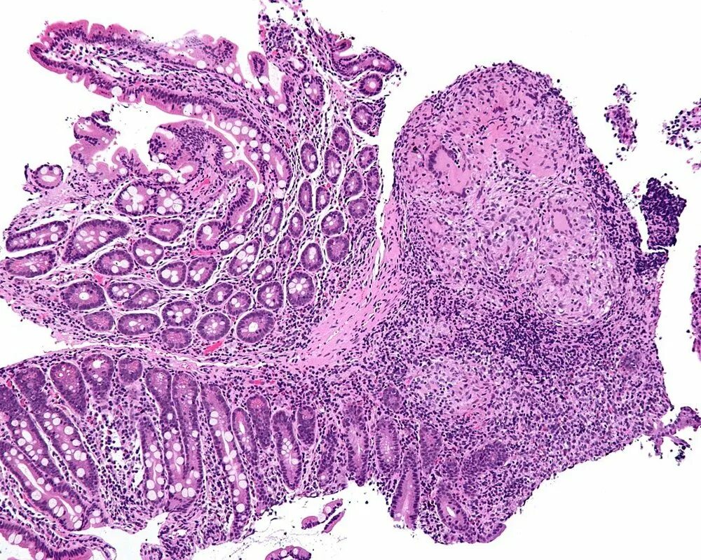
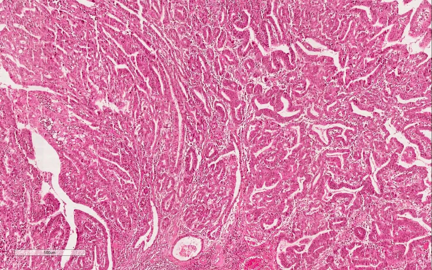
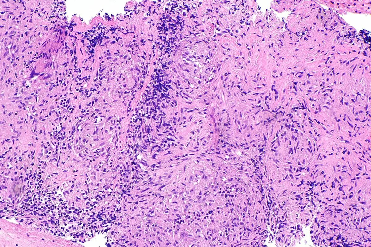
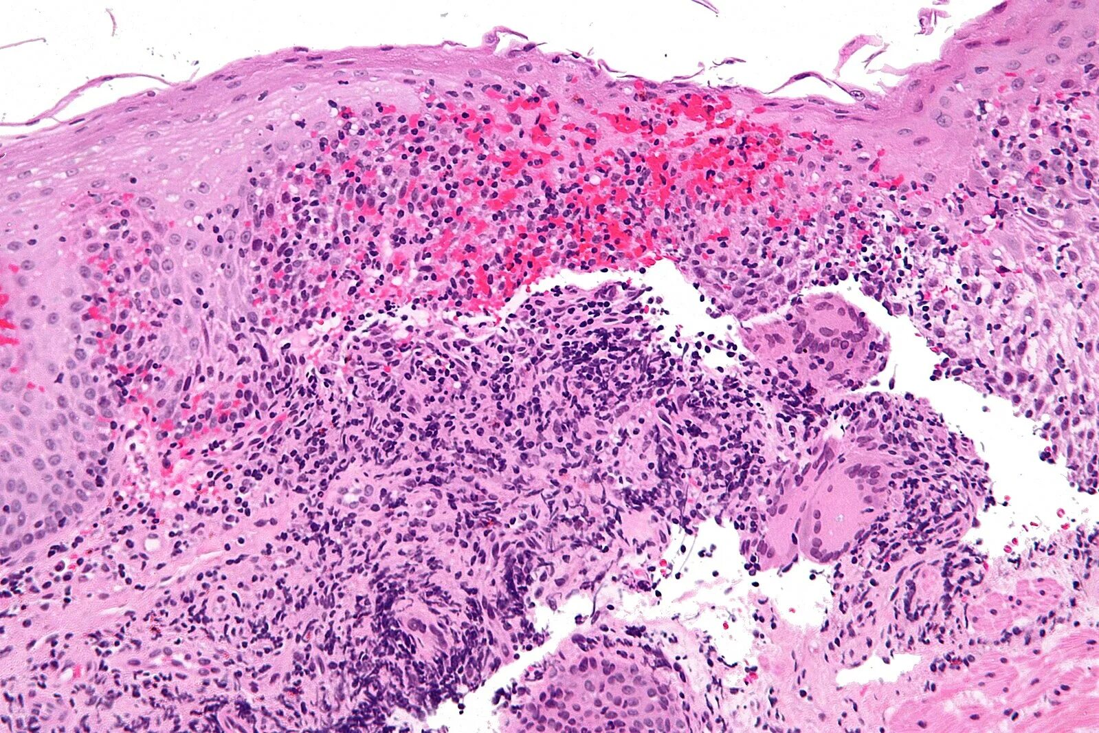
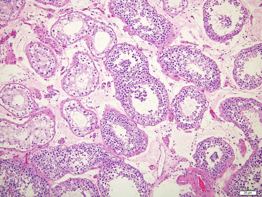
Гистологическая картина