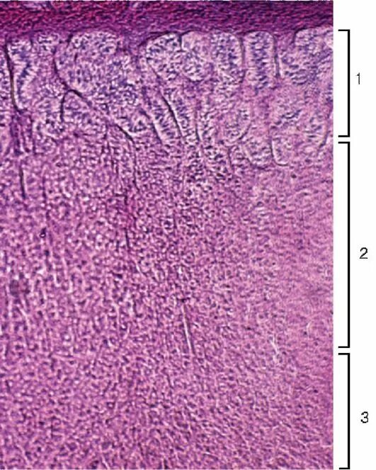
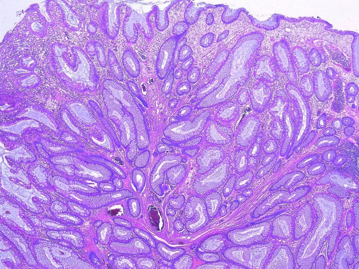
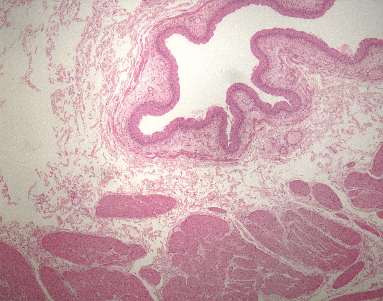
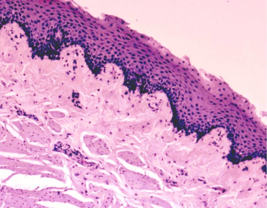
Гистологический срез это