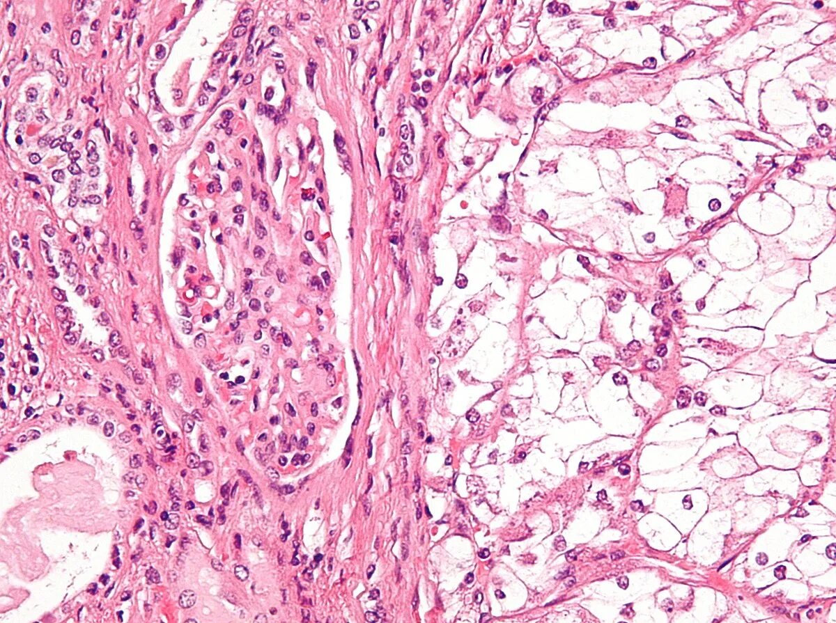
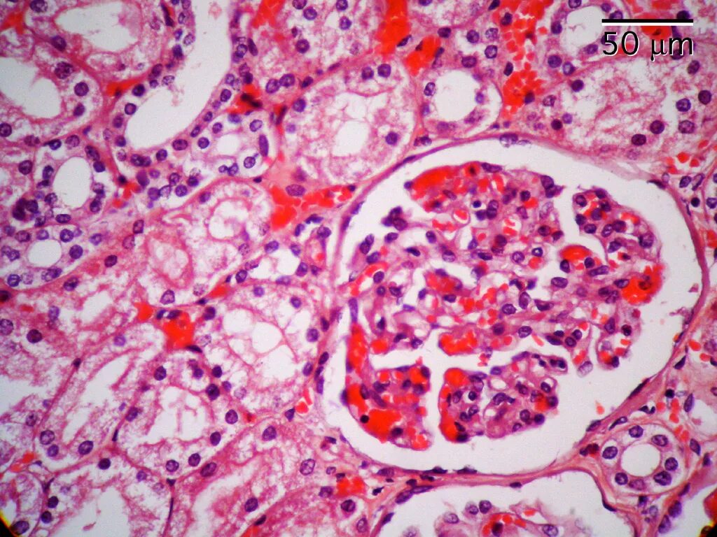
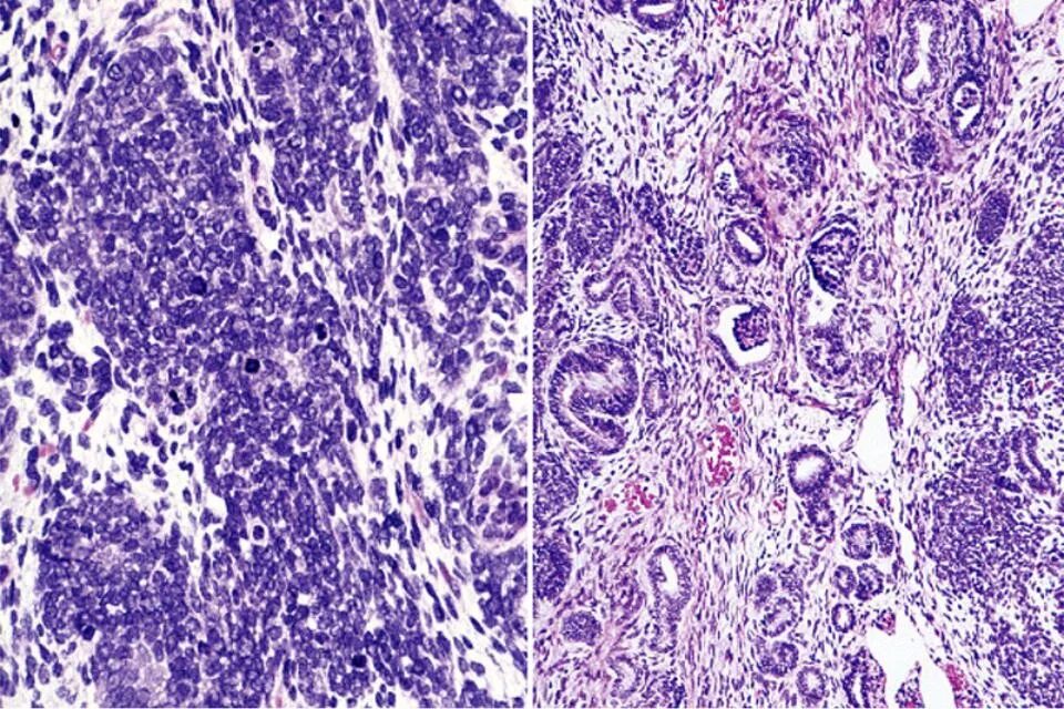
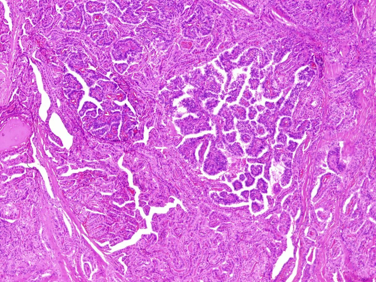
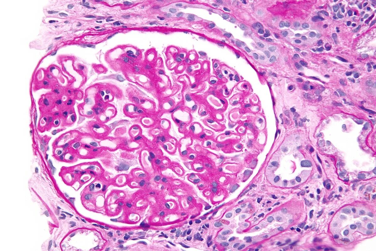
Гистологическое исследование почек