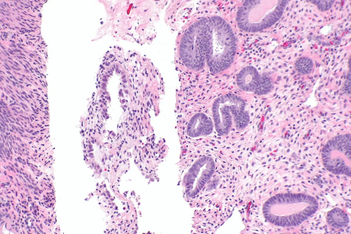
Гистологическое исследование полипов