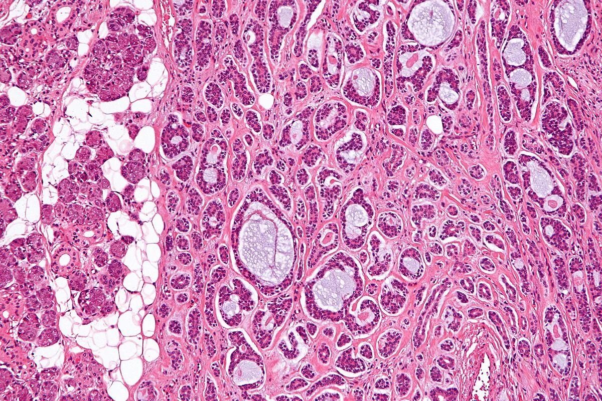
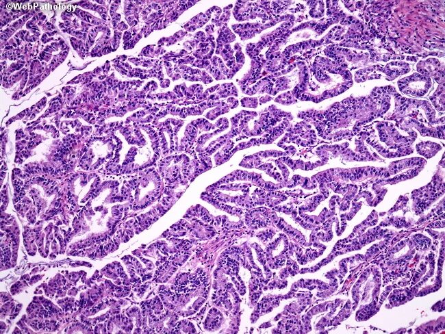
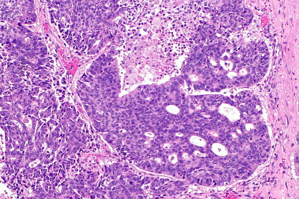
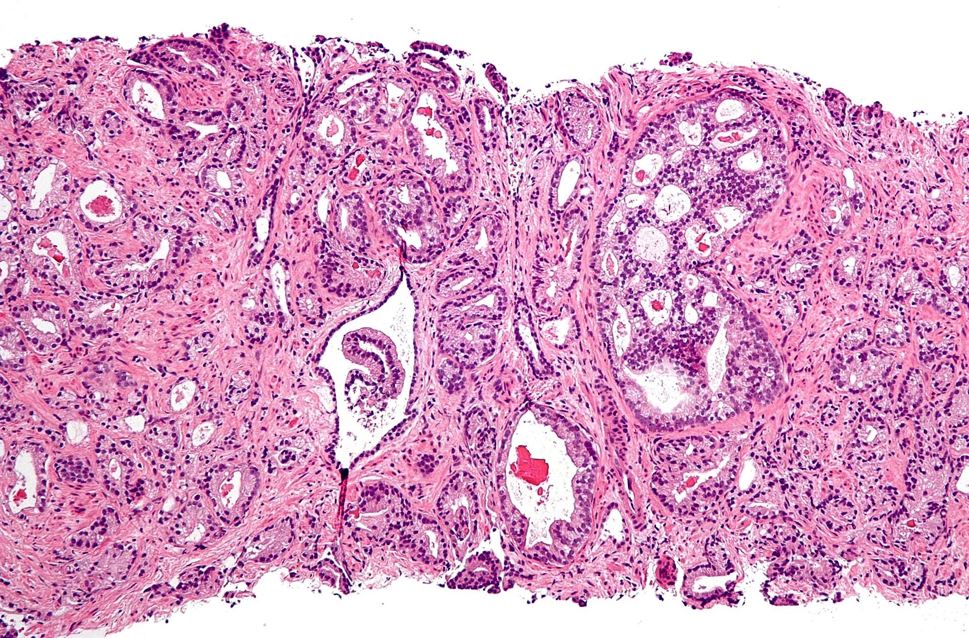
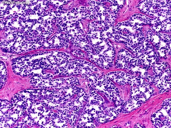
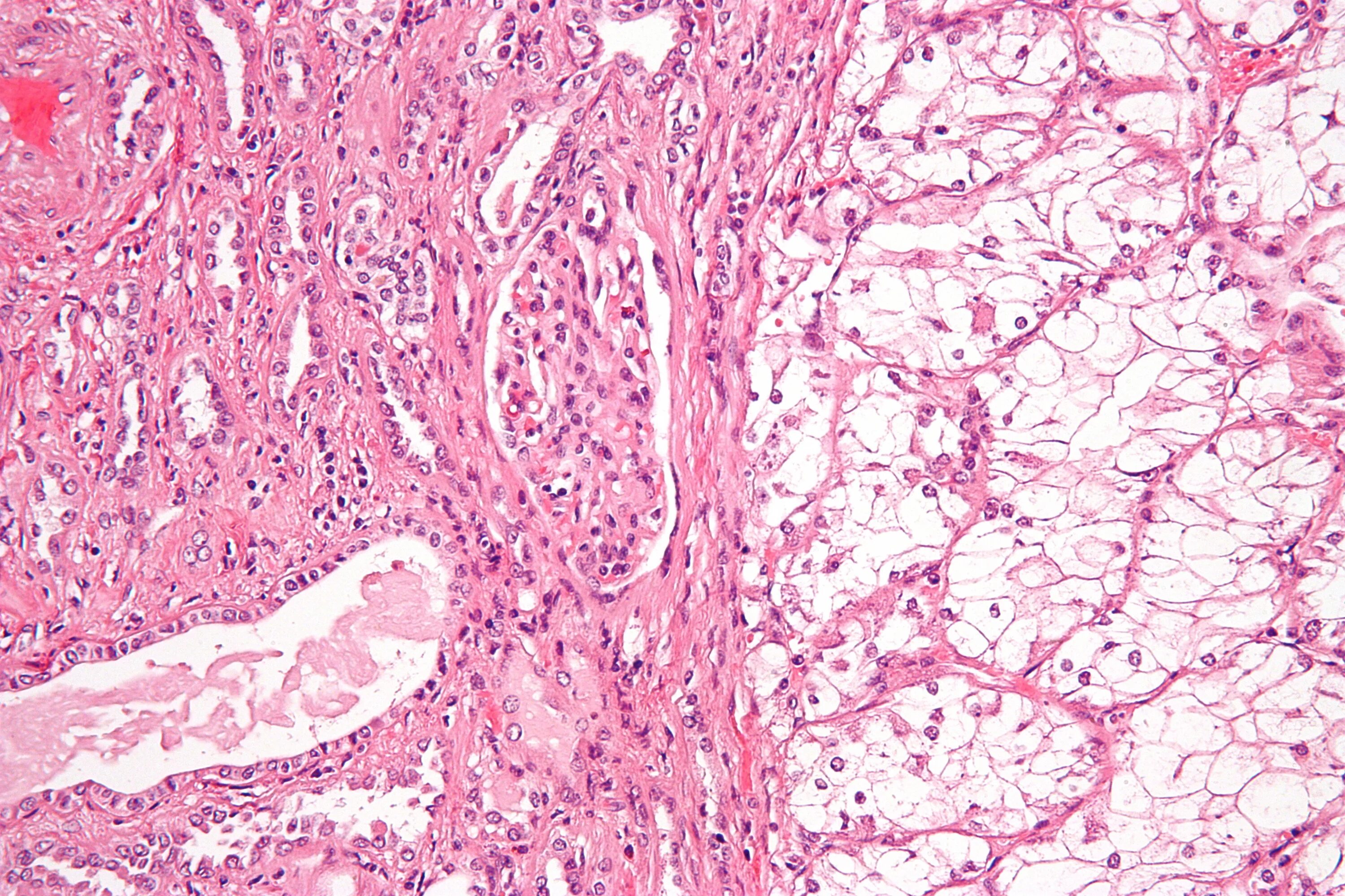
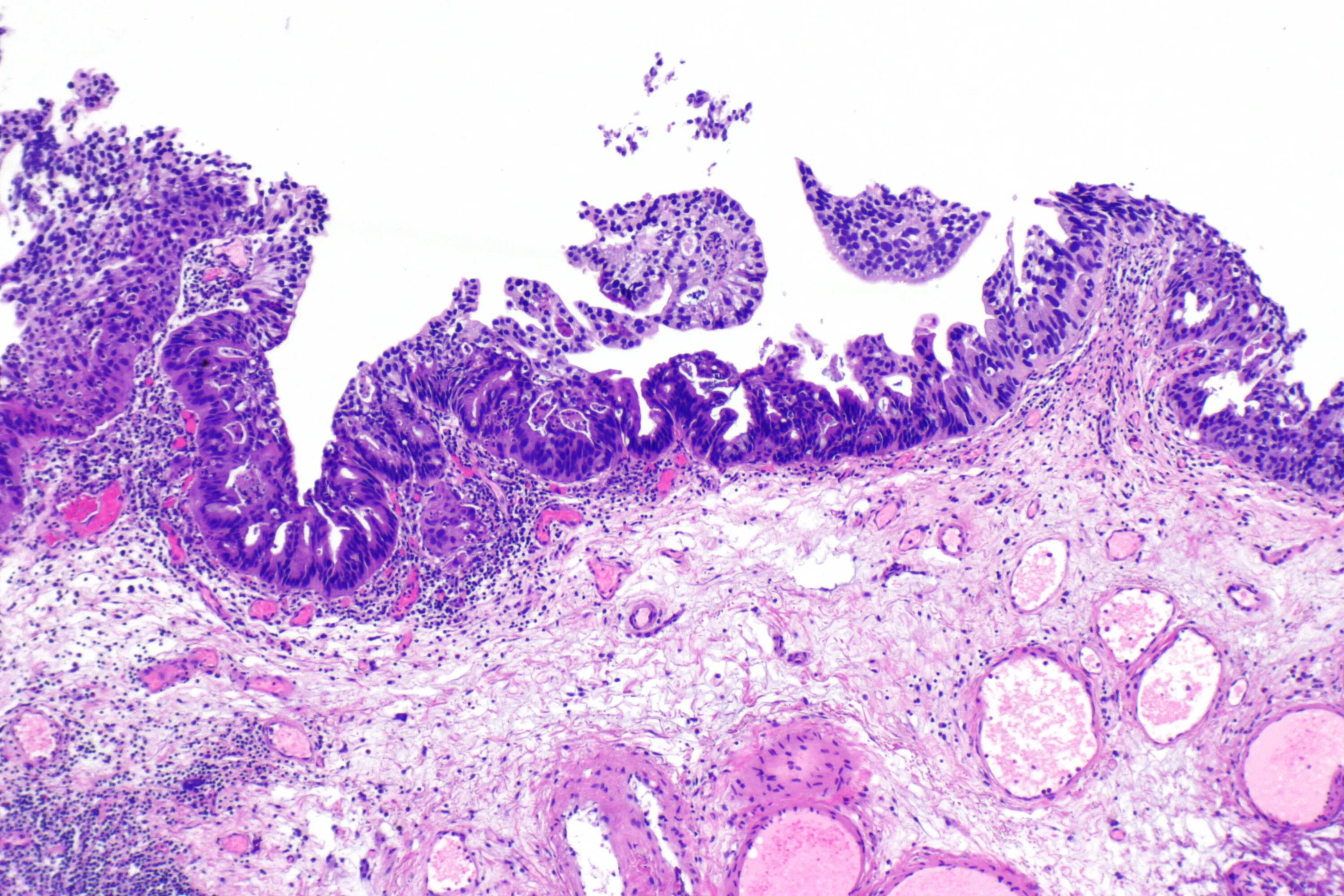
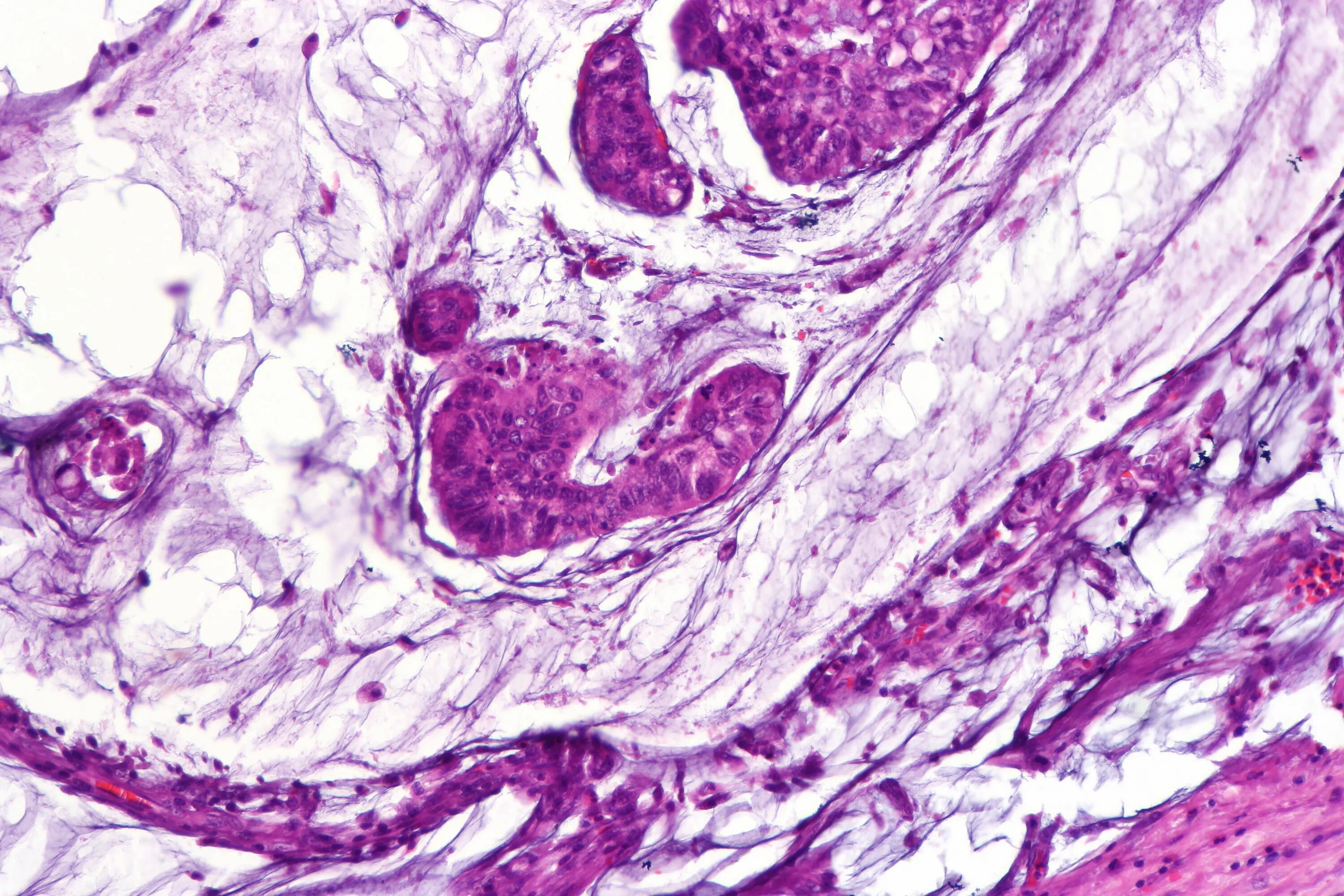
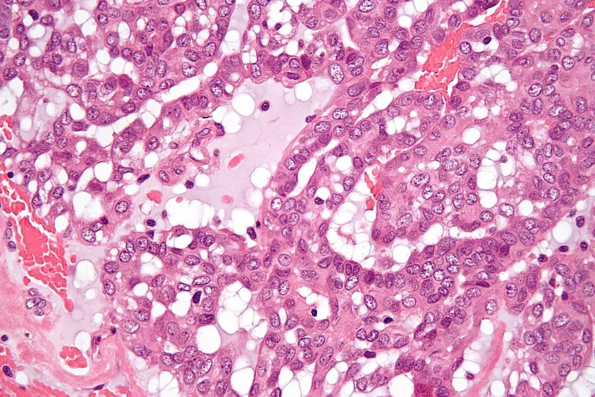
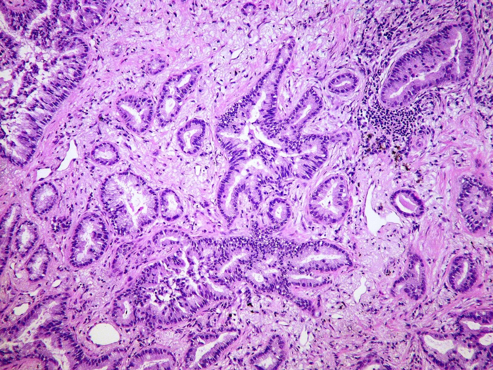
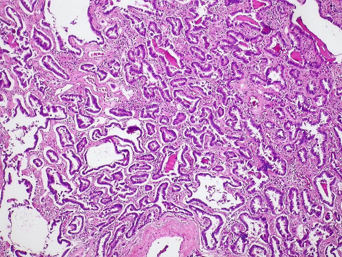
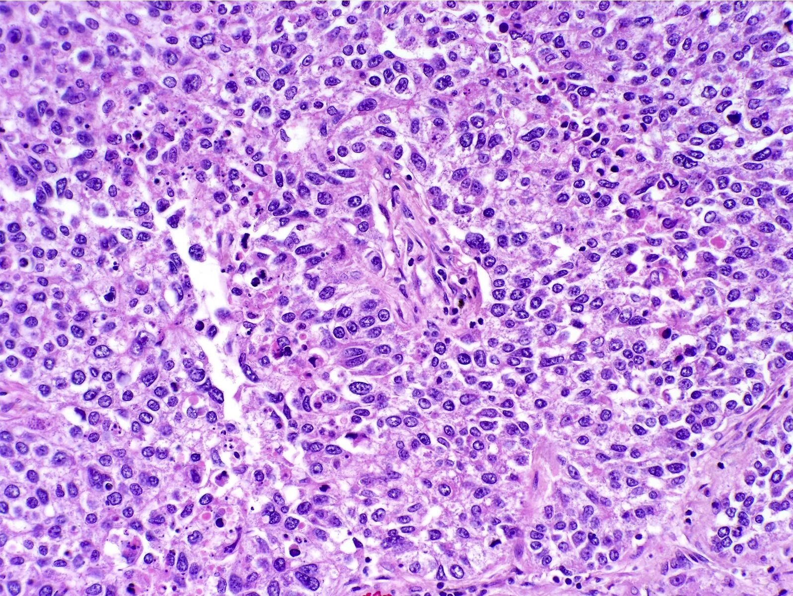
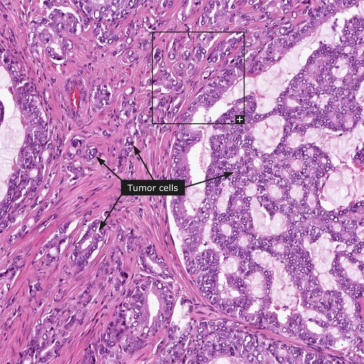
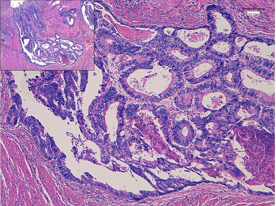
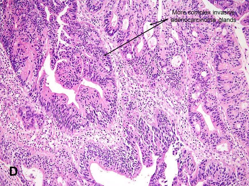
Гистология аденокарциномы