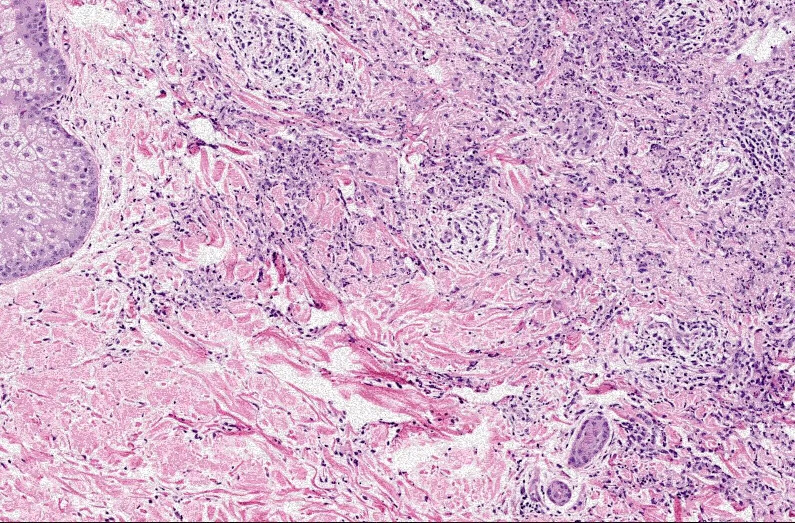
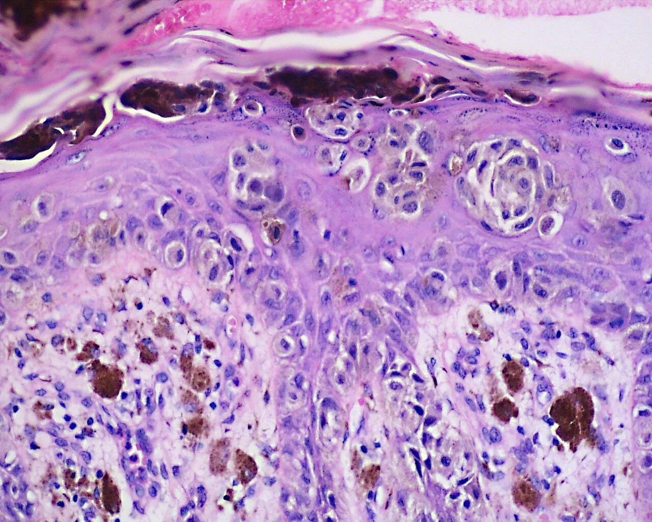
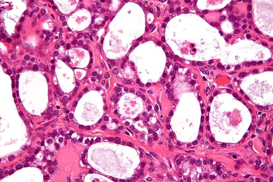
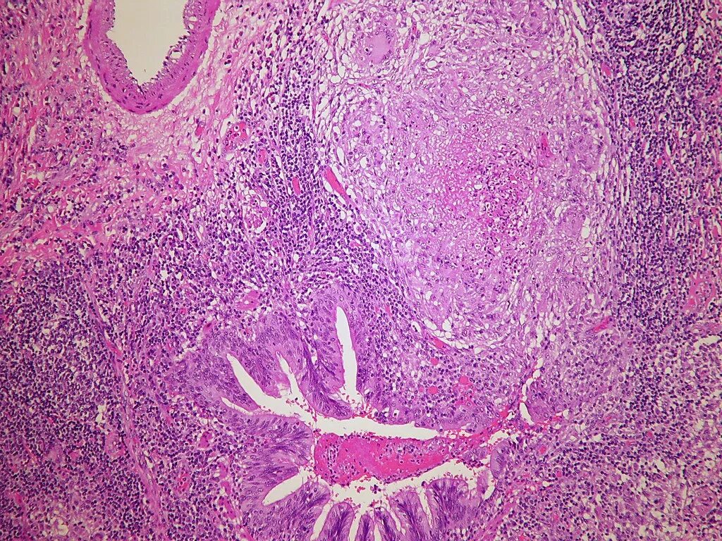
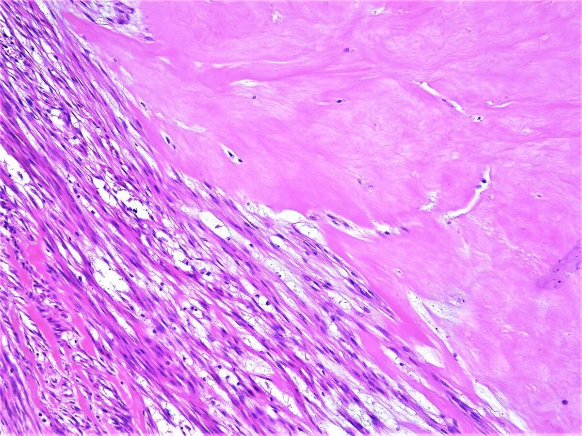
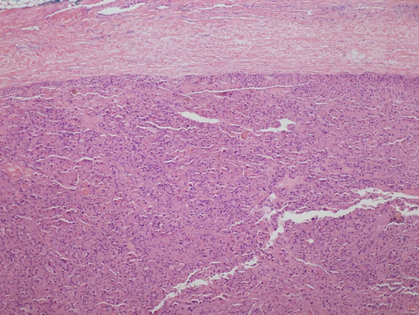
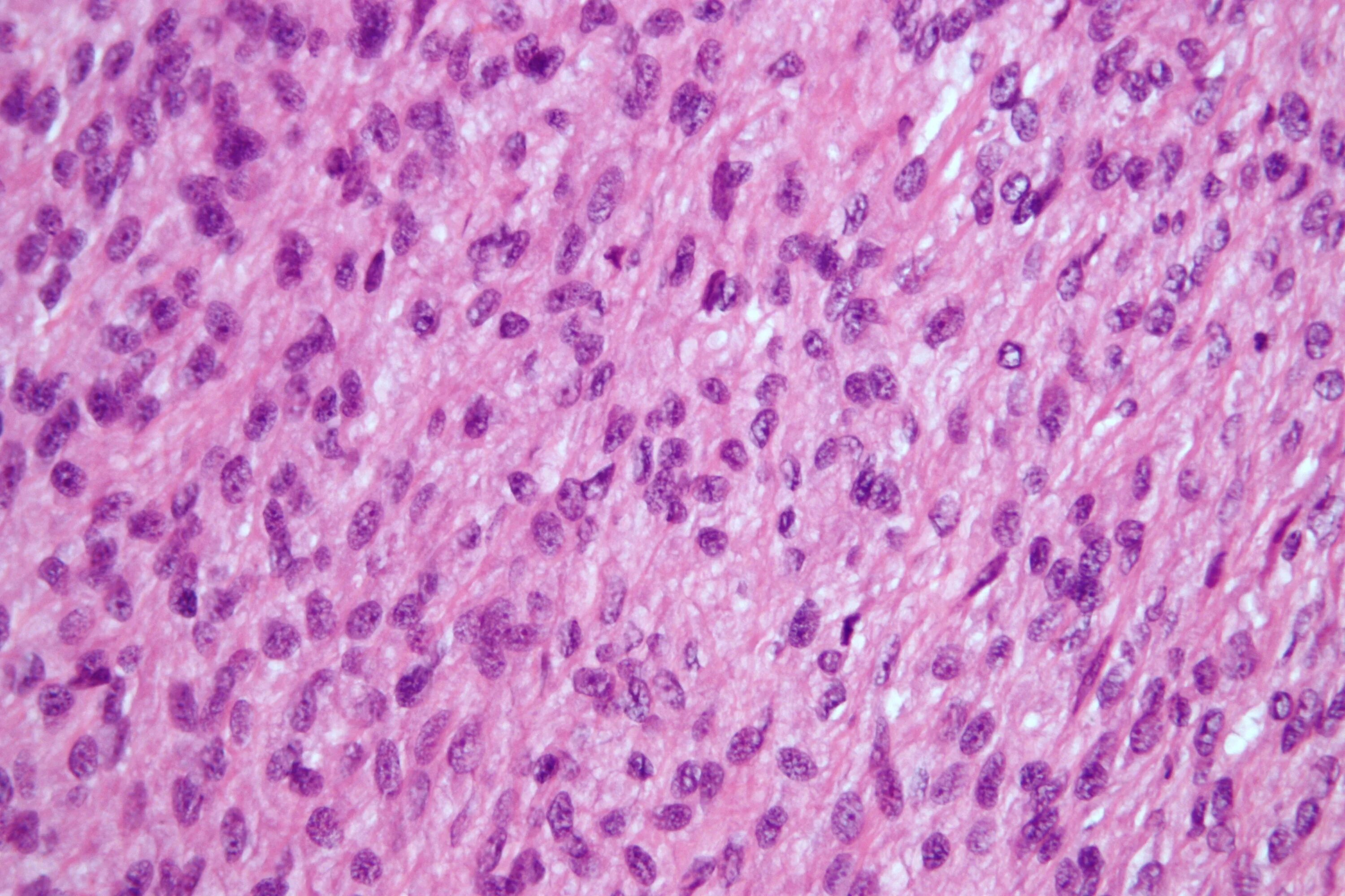
Гистология фото