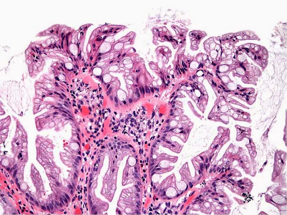
Гистология после полипа