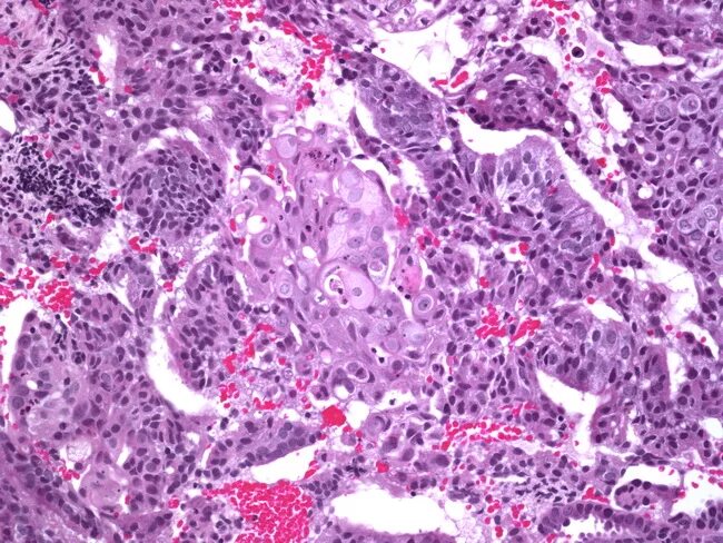
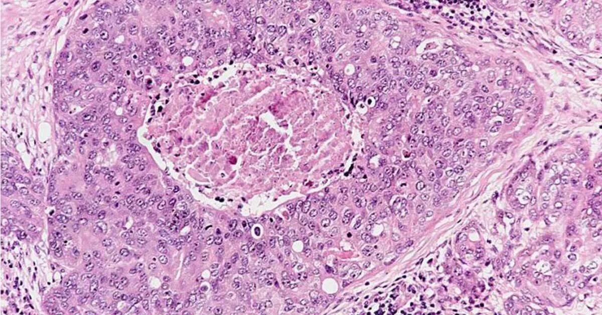
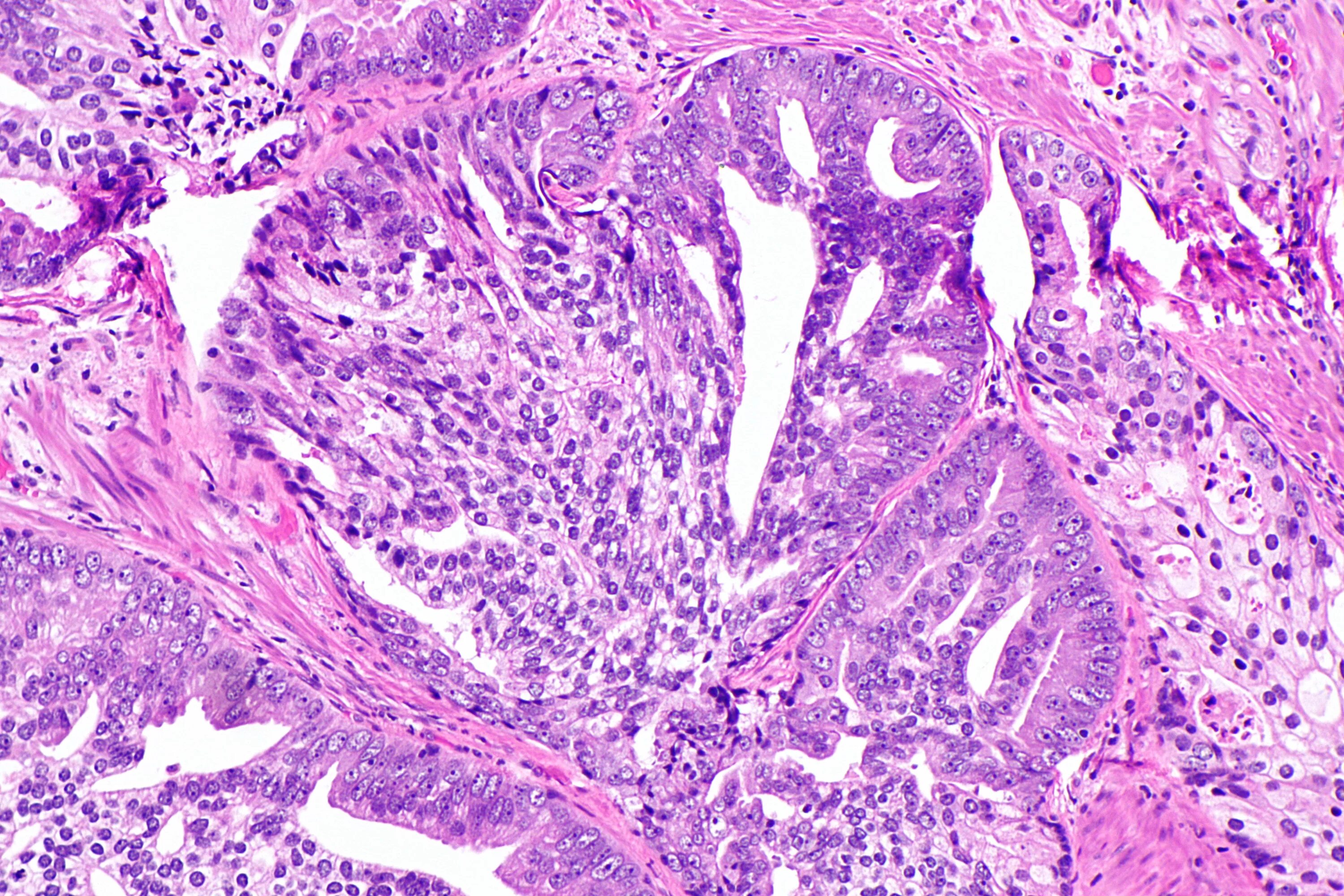
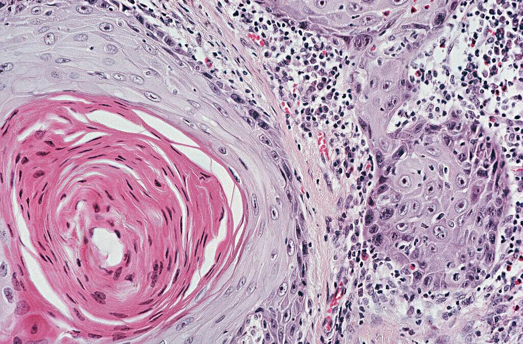
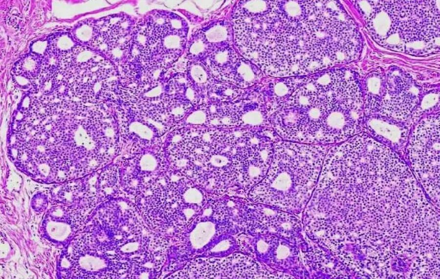
Гистология при раке