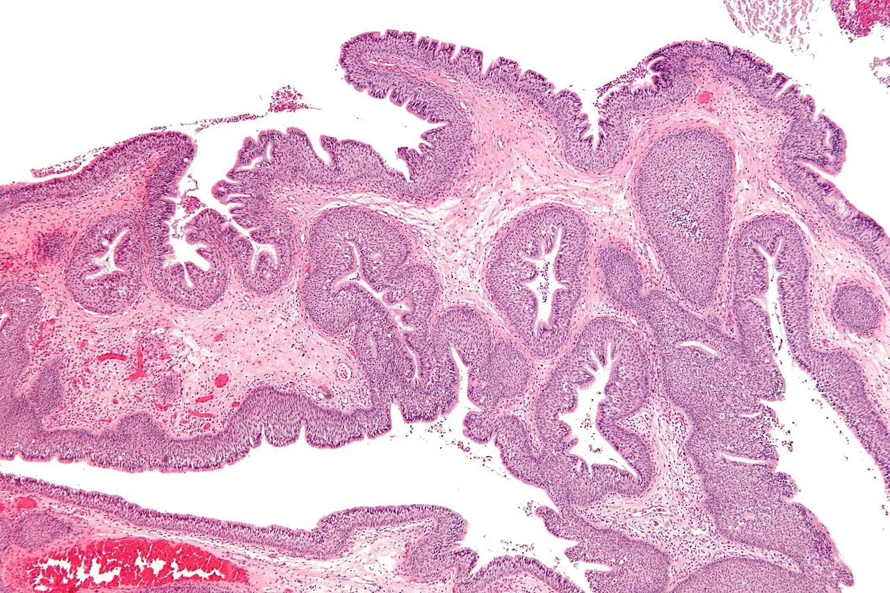
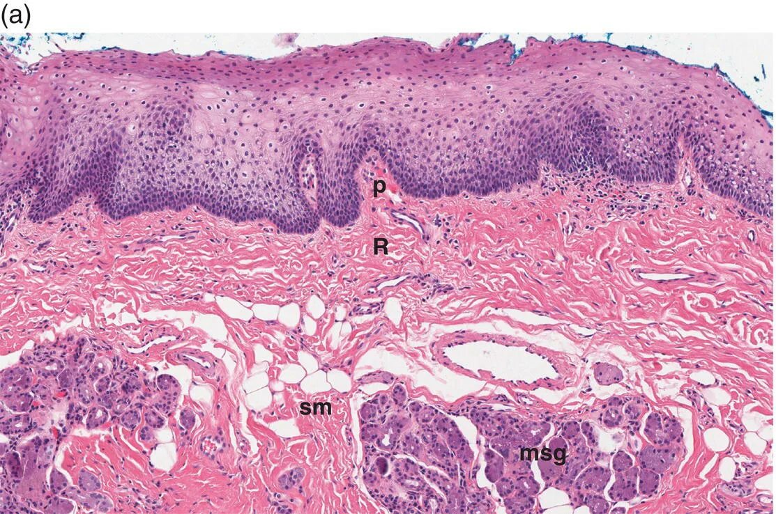
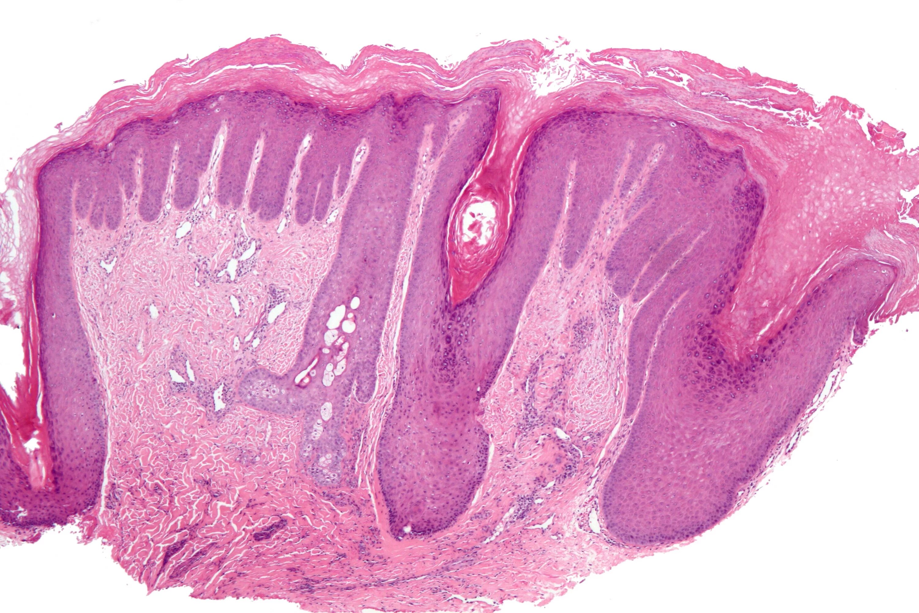
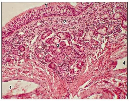
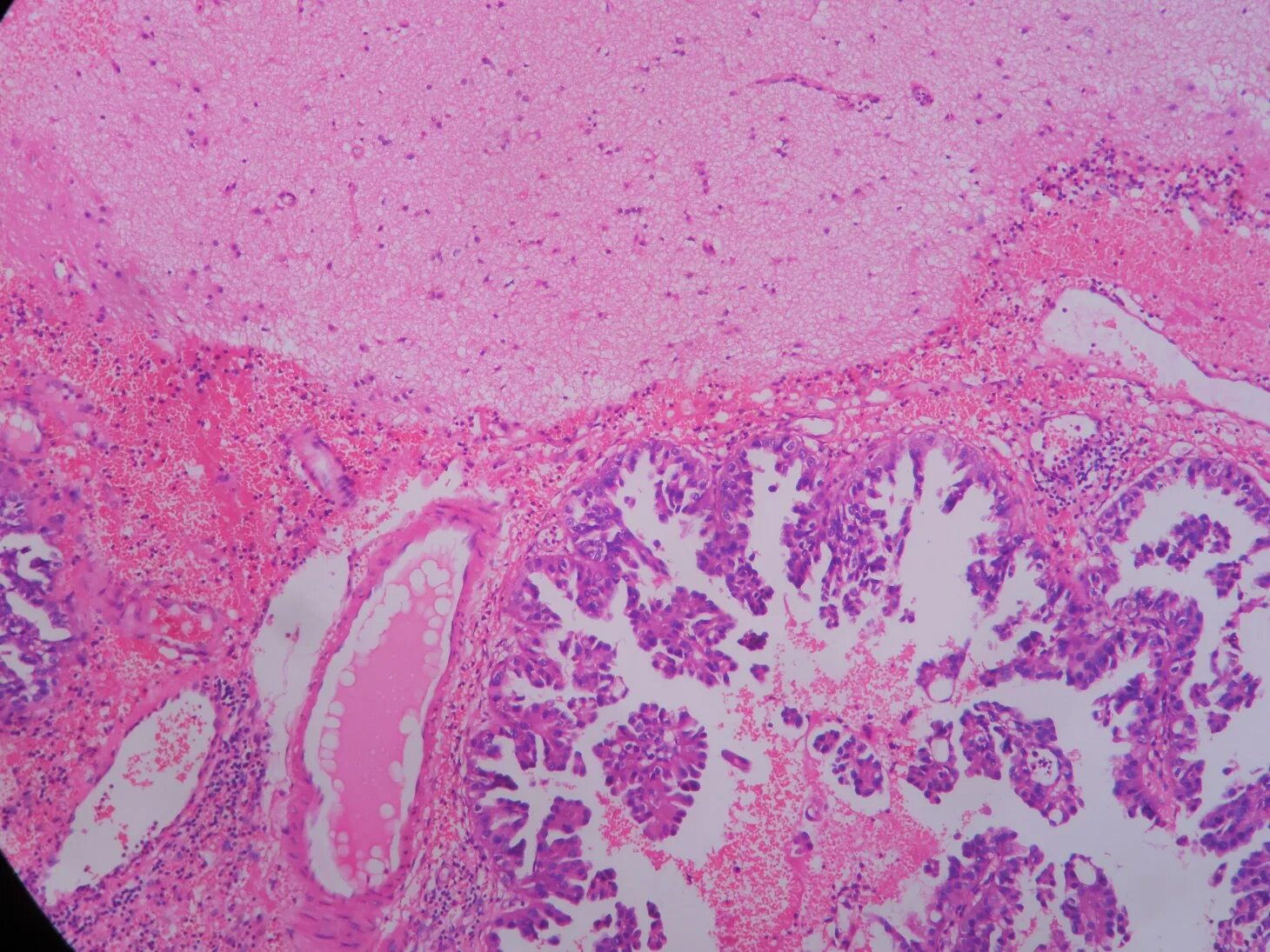
Гистология слизистой