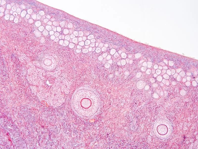
Гистология ткани человека