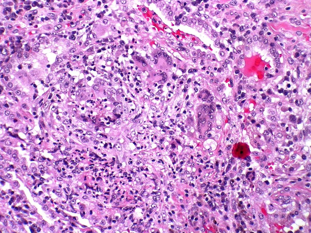
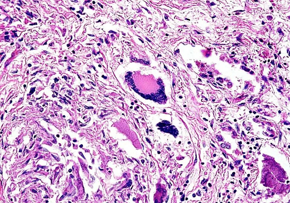
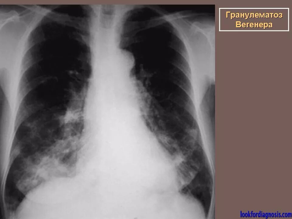
Гранулематоз лечение