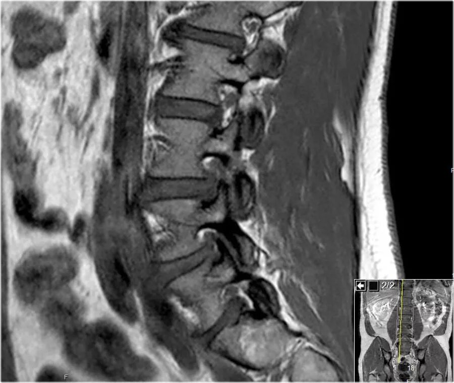
Грыжа диска 3