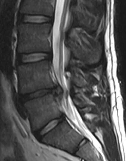
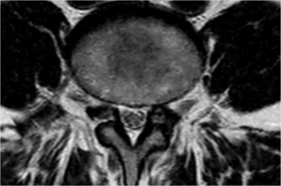
Грыжа диска мрт