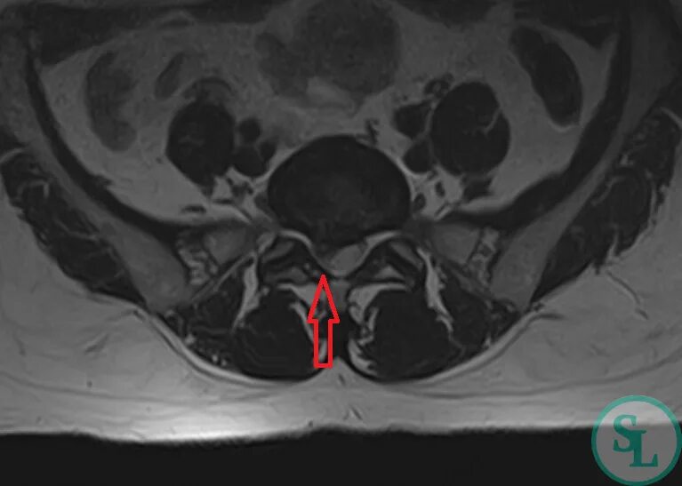
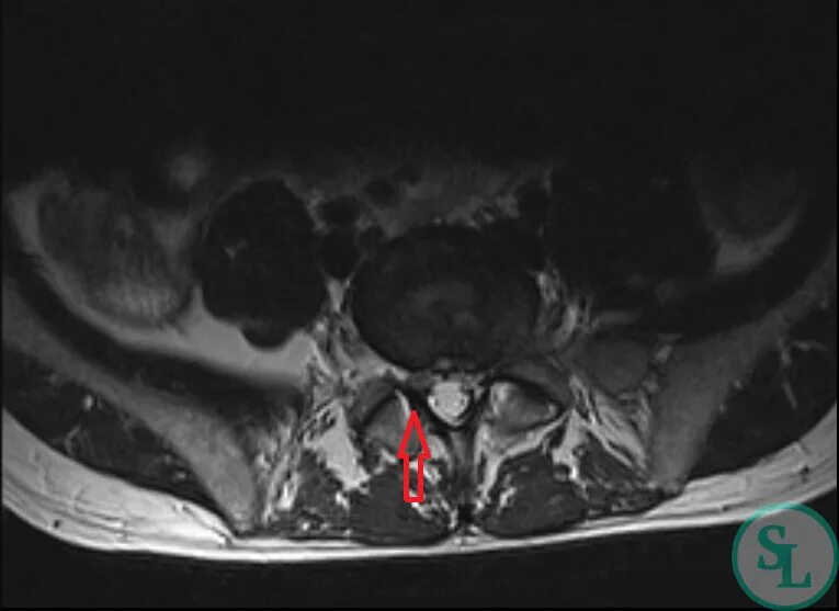
Грыжа экструзия диска l5 s1