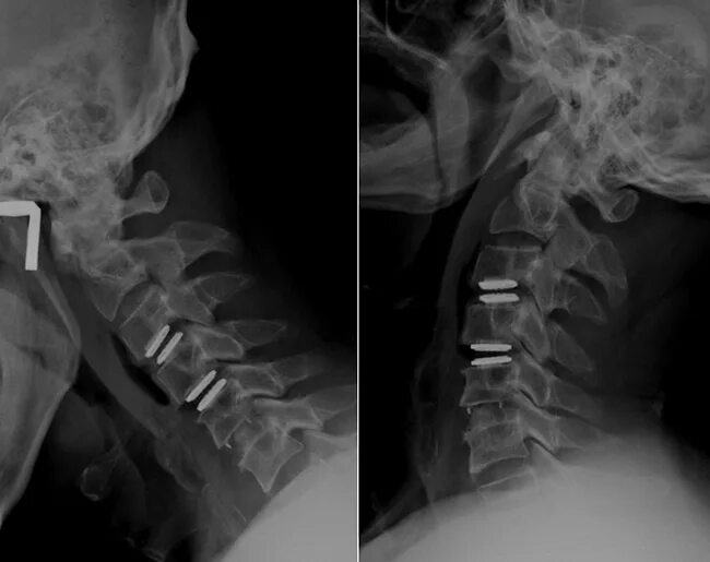
Грыжа с3