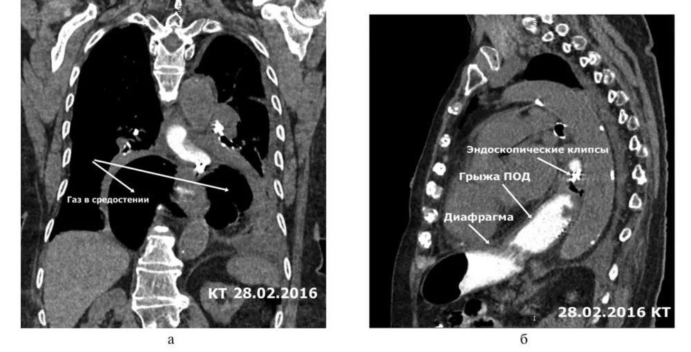
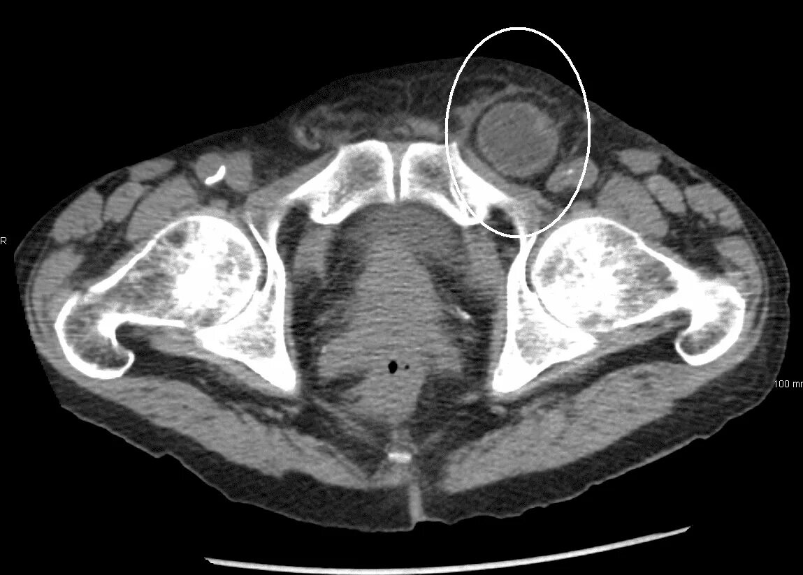
Грыжи на кт