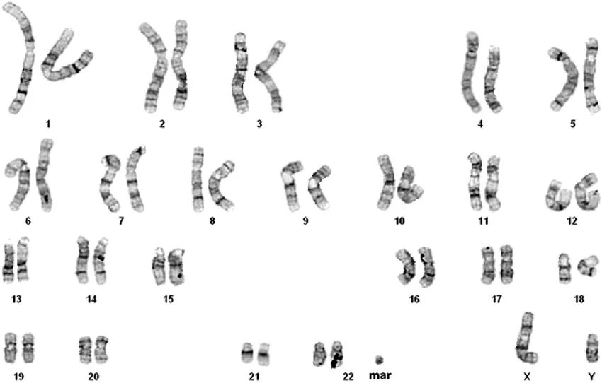
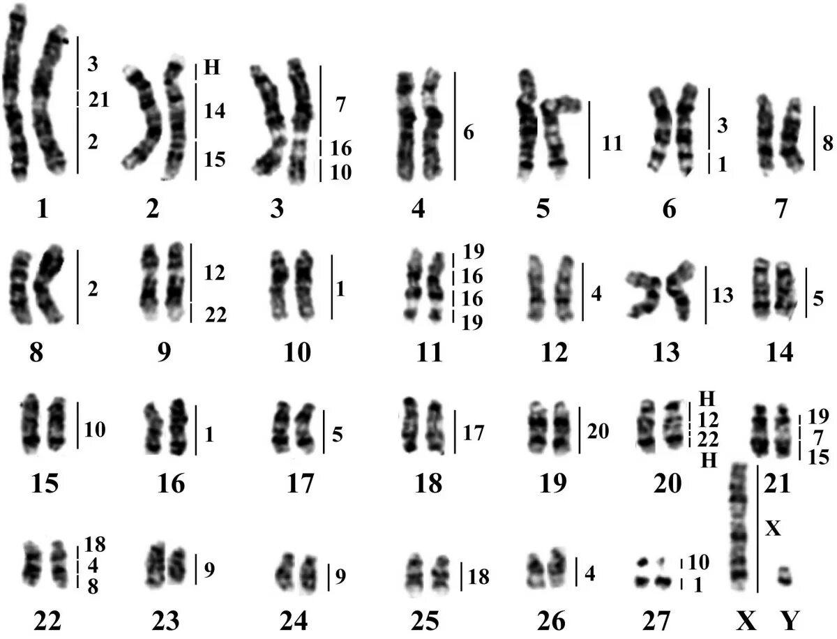
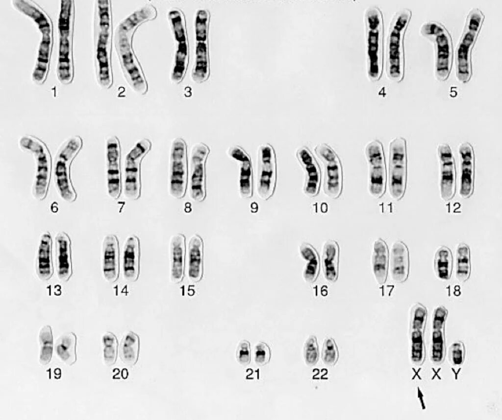
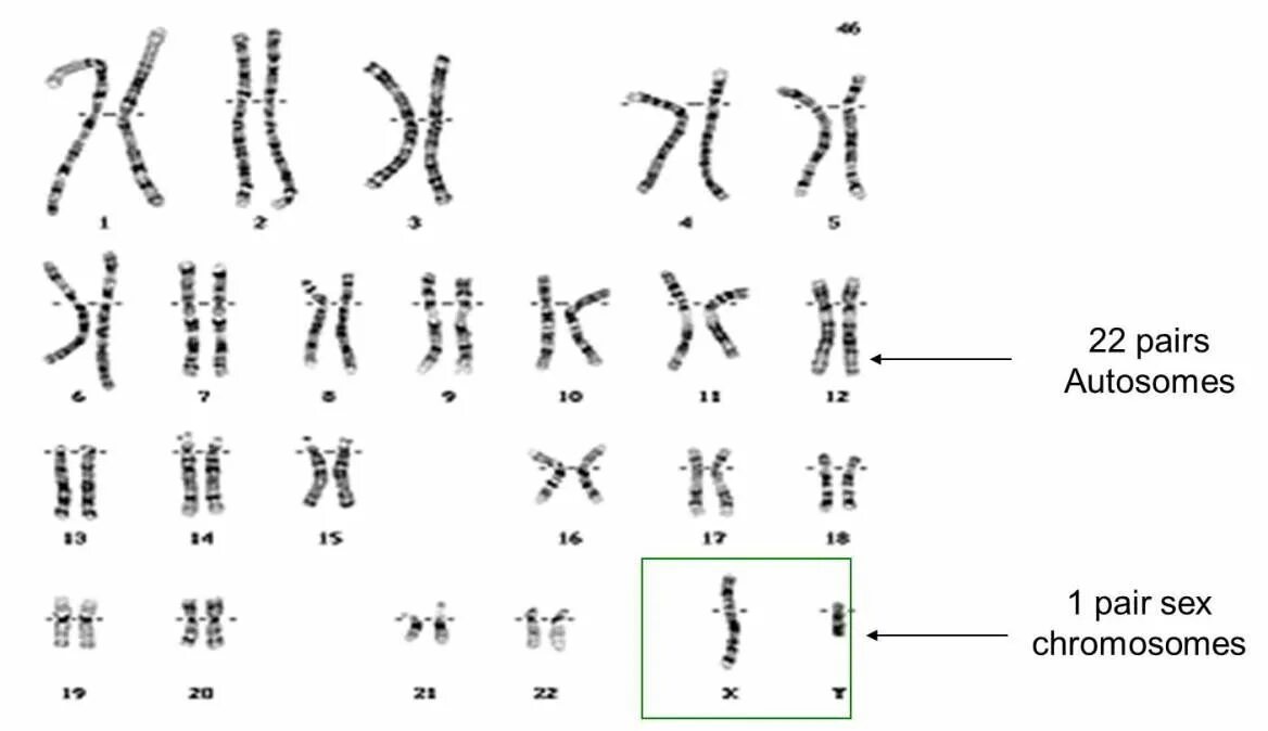
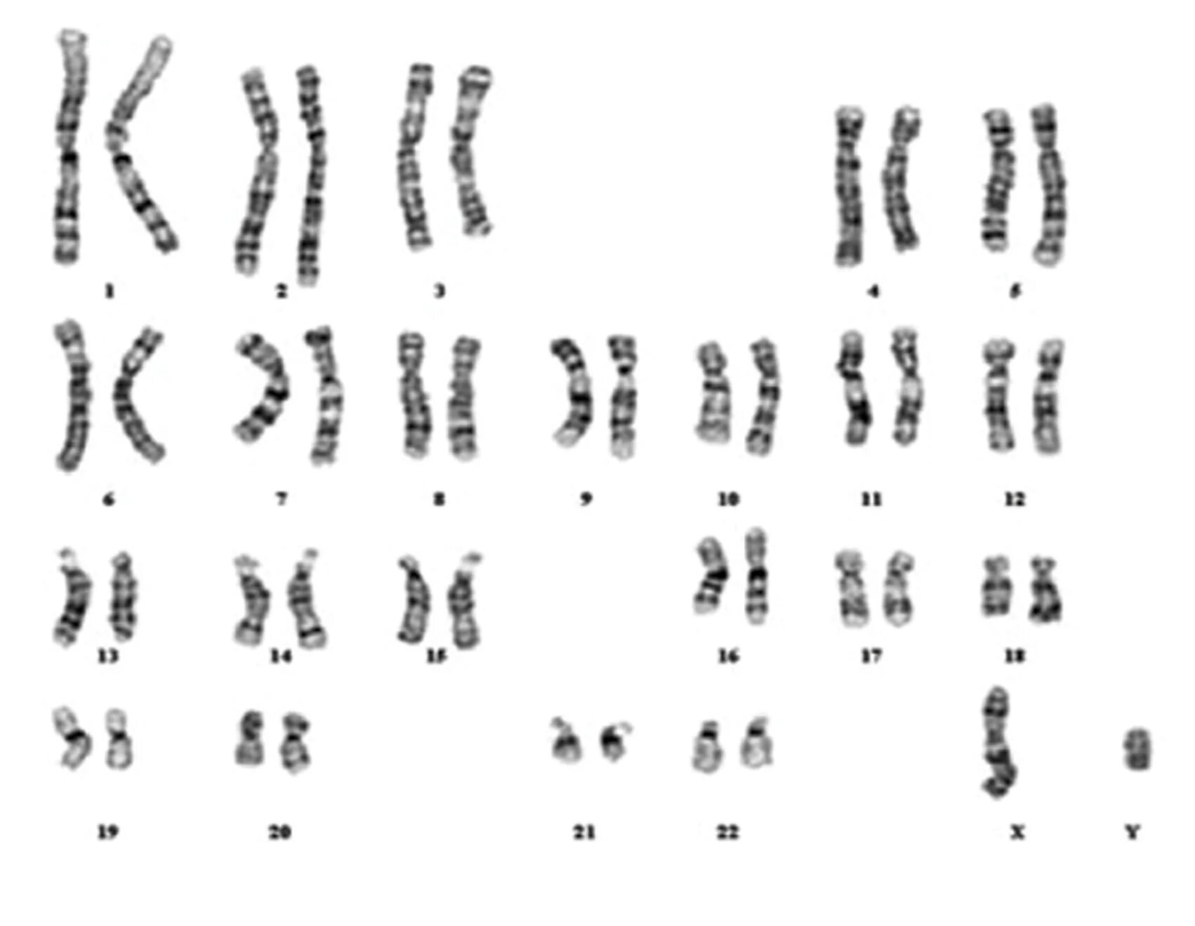
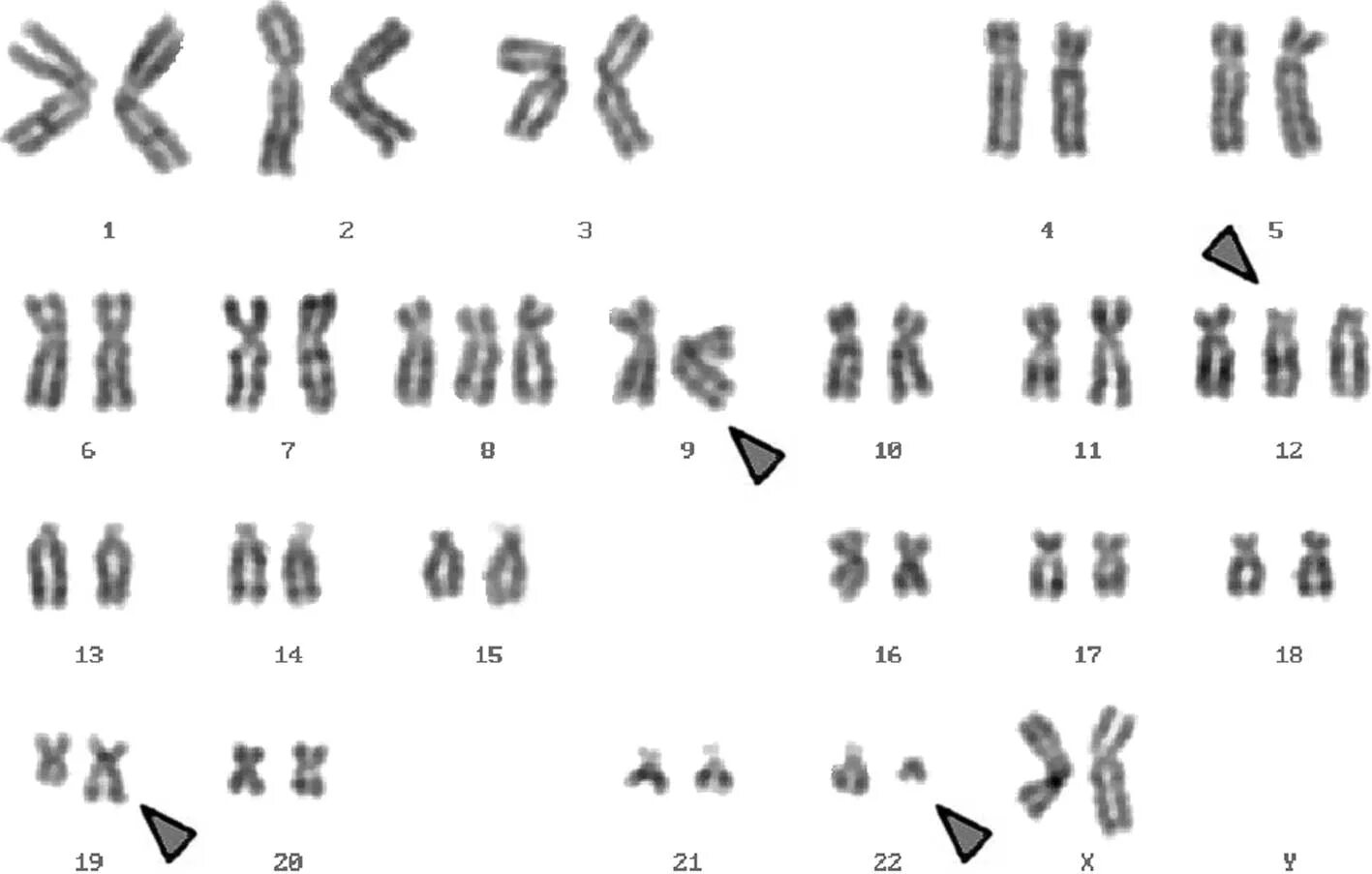
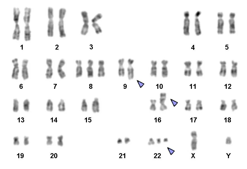
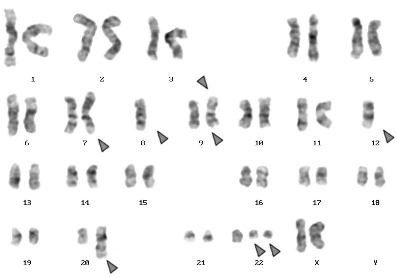
Хромосомы печени