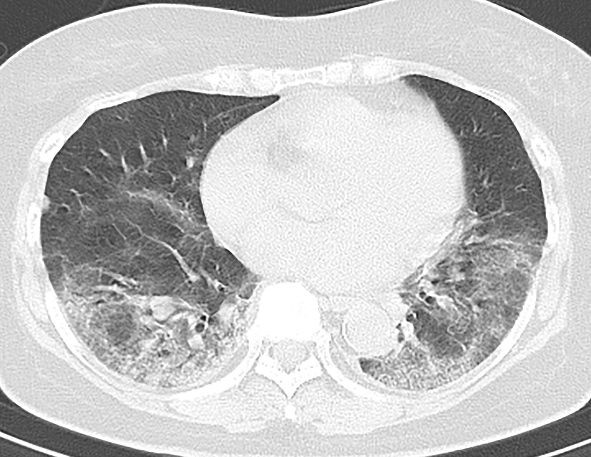
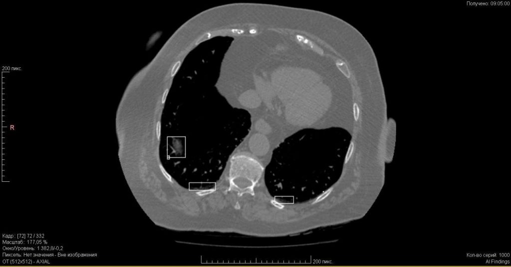
Интерпретация кт