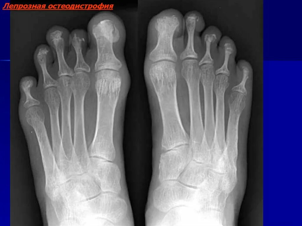
Изменение скелета