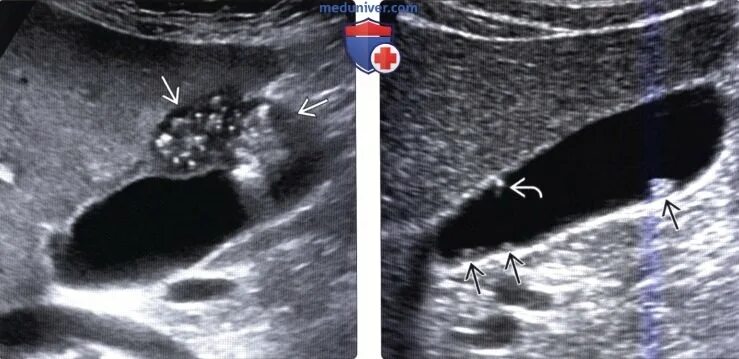
Изменение стенок желчного пузыря