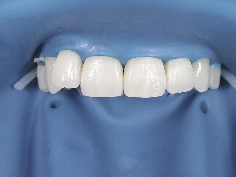
Изоляция зуба от слюны