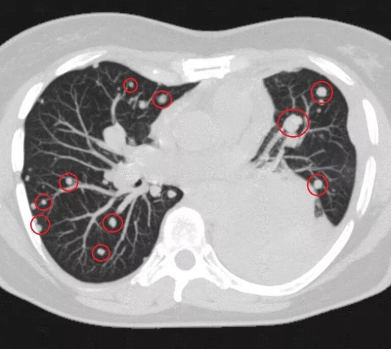
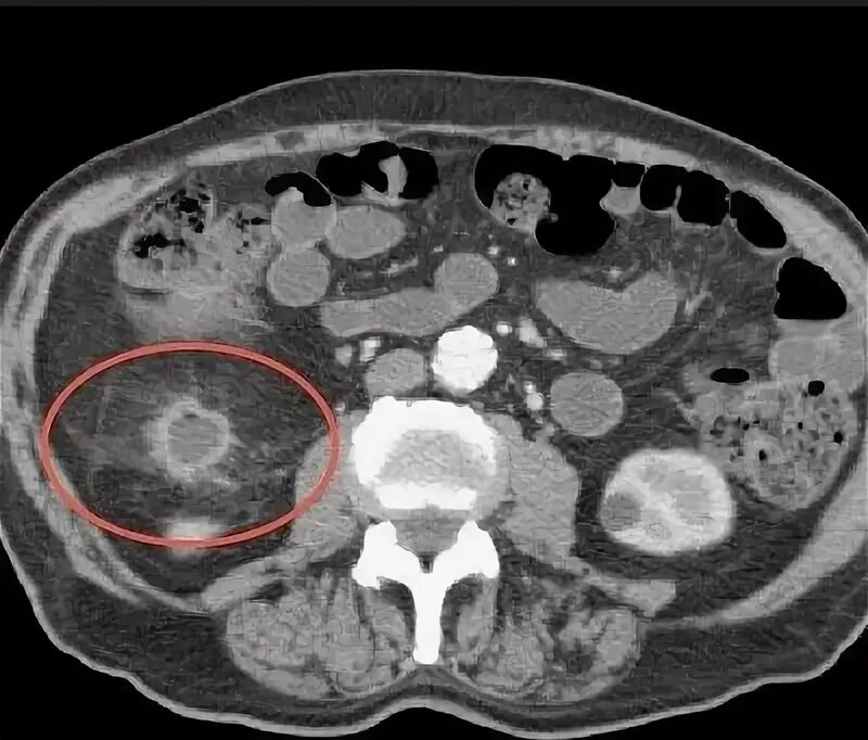
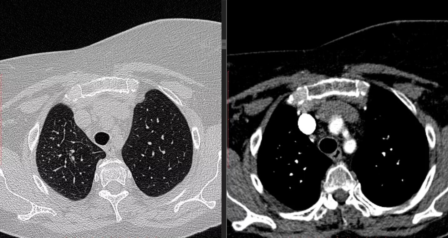
Как на кт выглядит рак