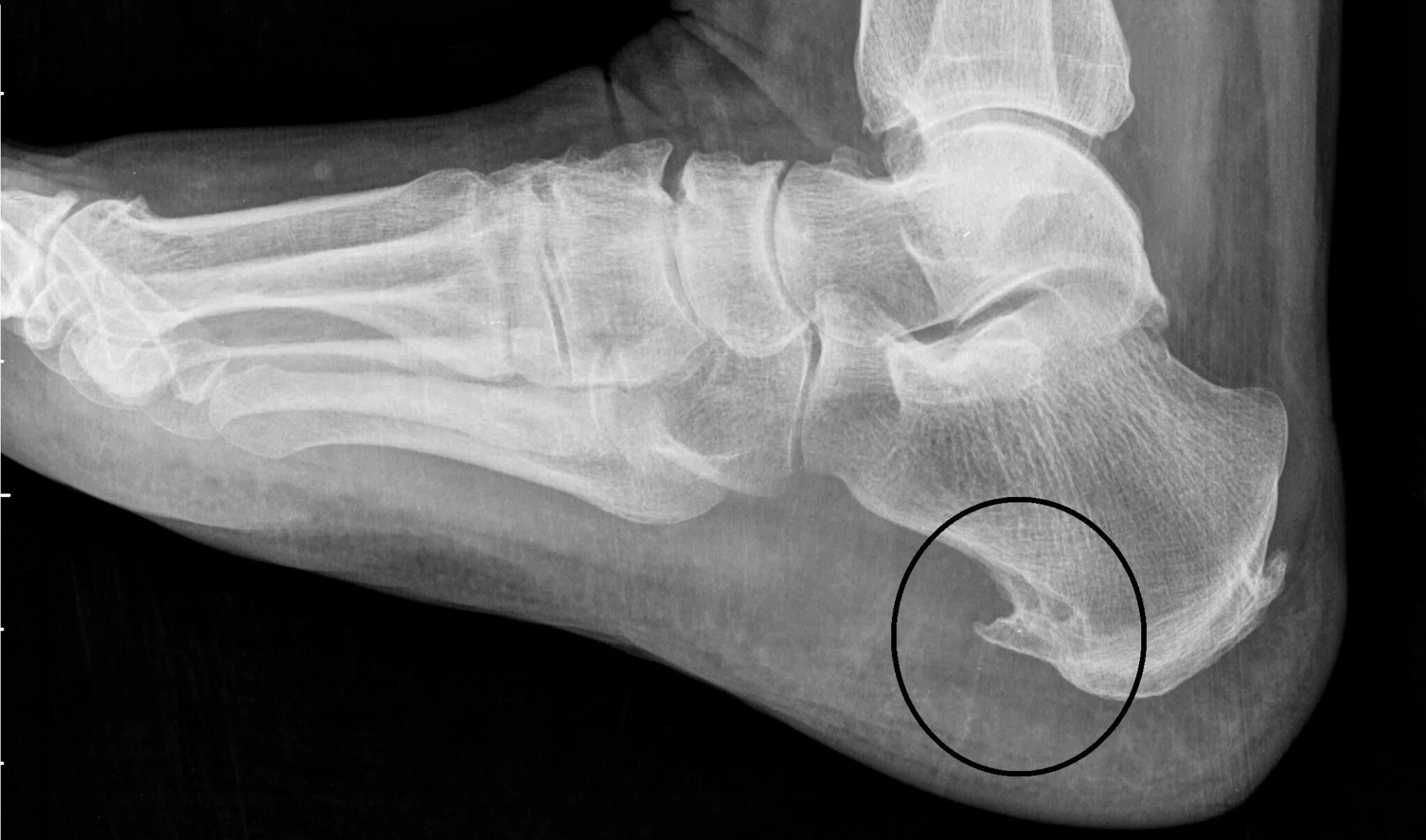
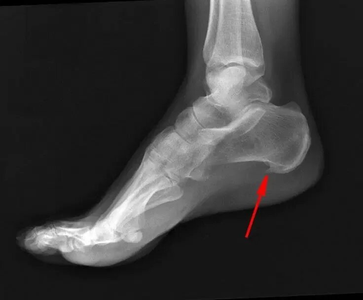
Как называется пяточная шпора