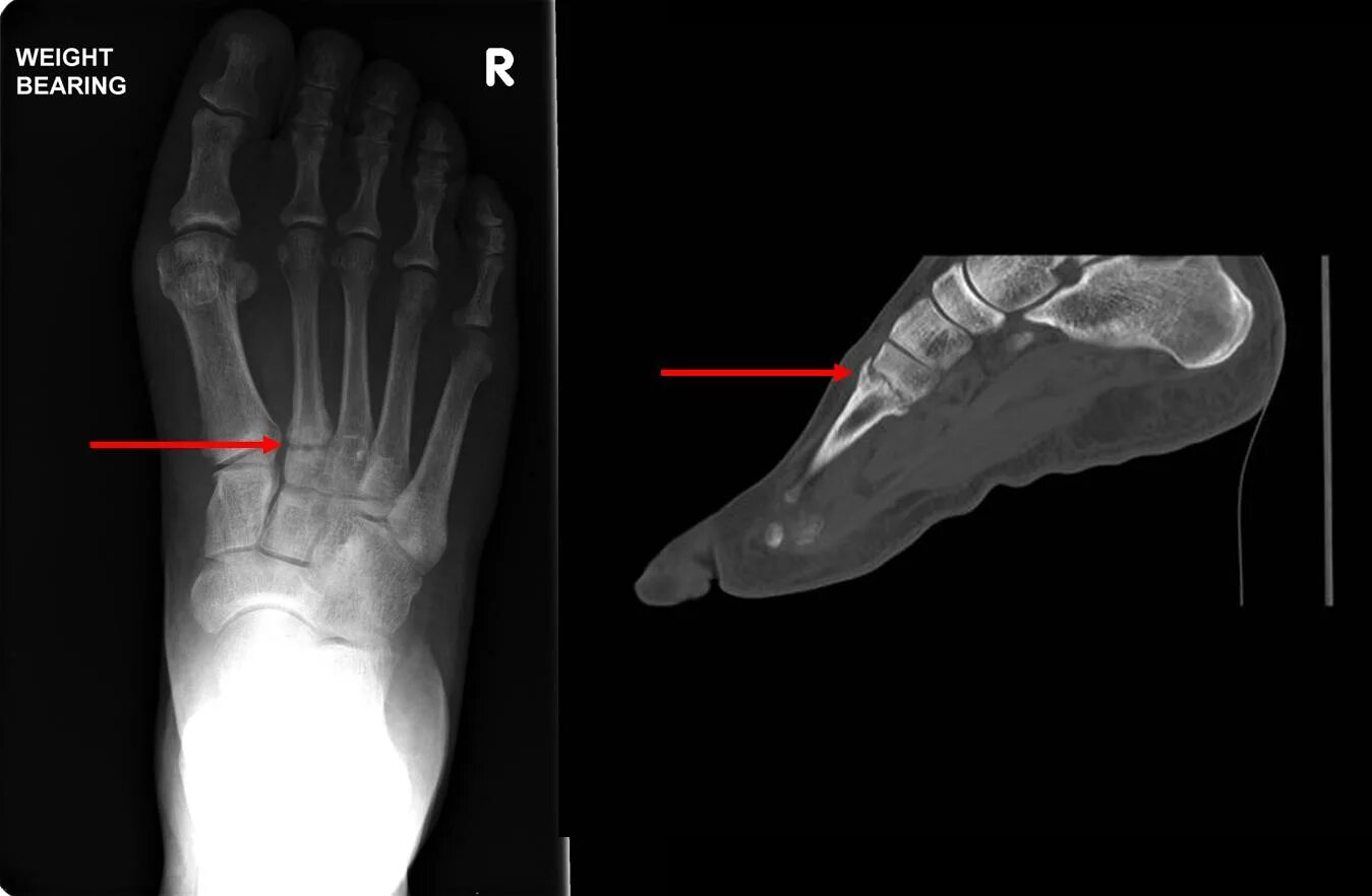
Как определить перелом стопы