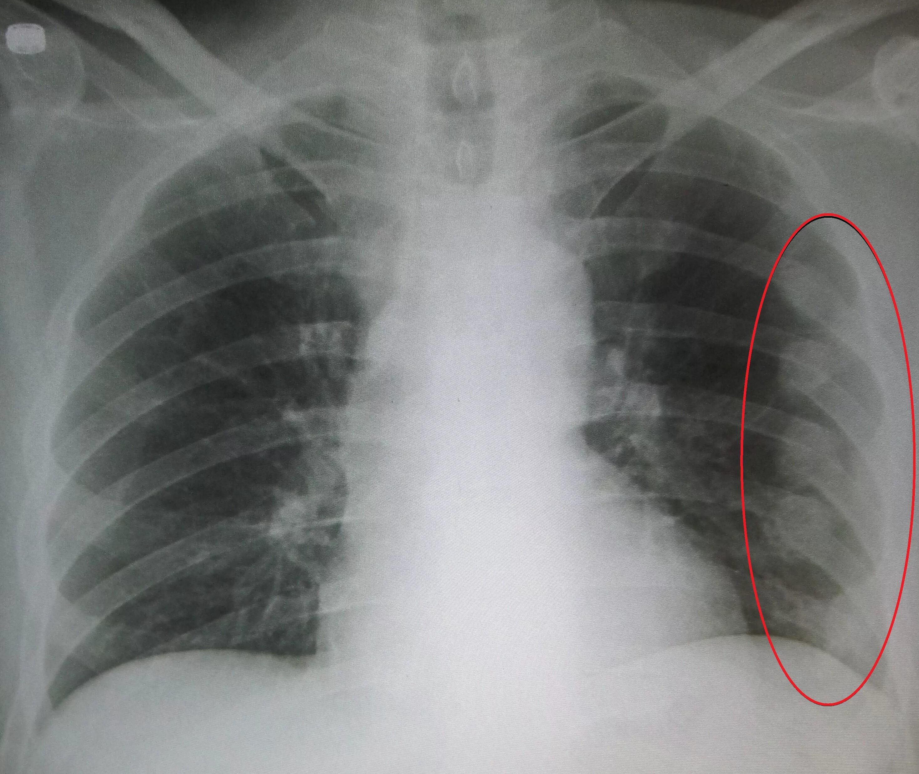
Как определить сломанное