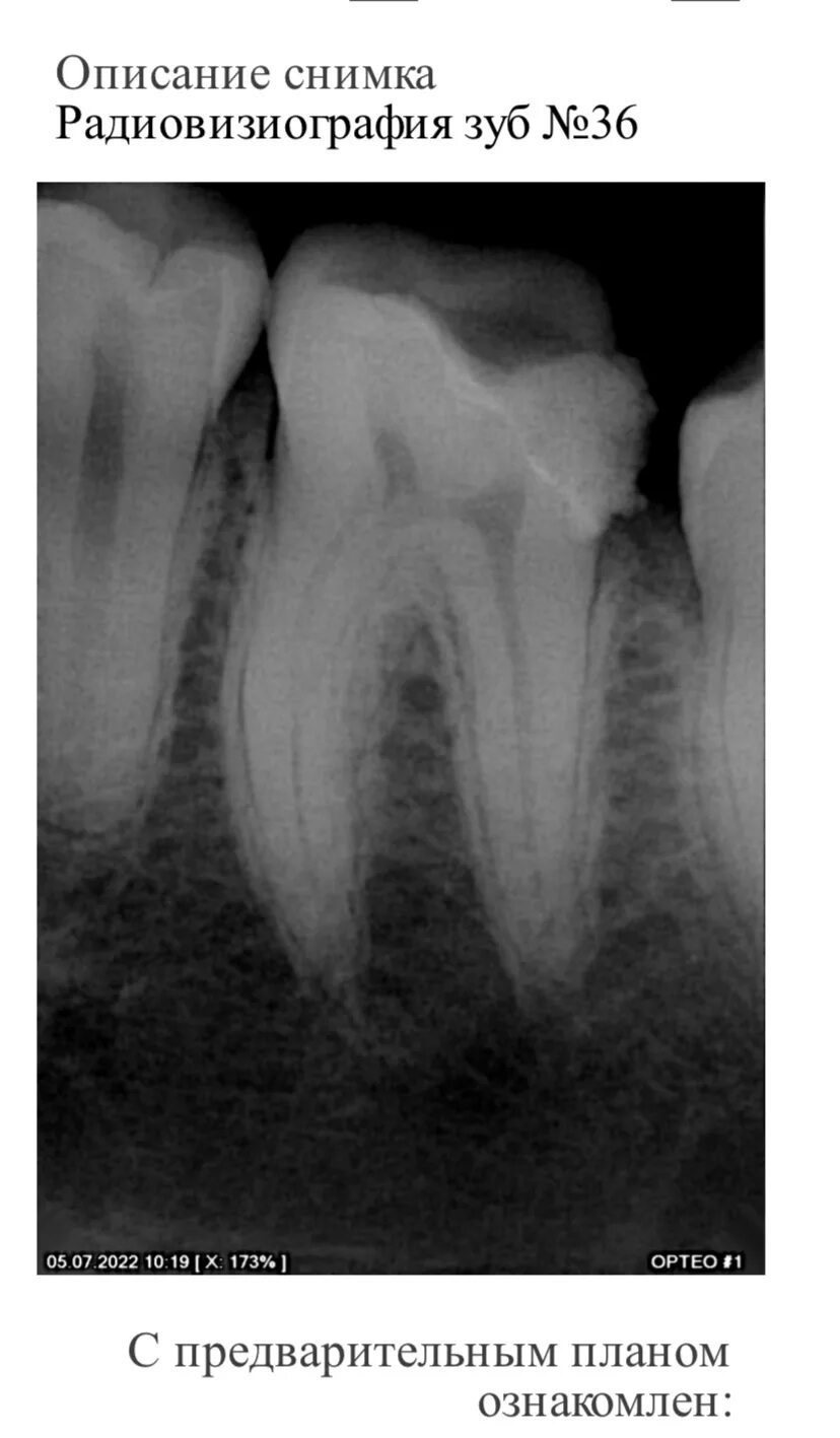
Как понять снимок зуба