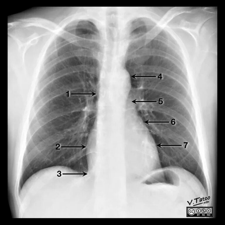
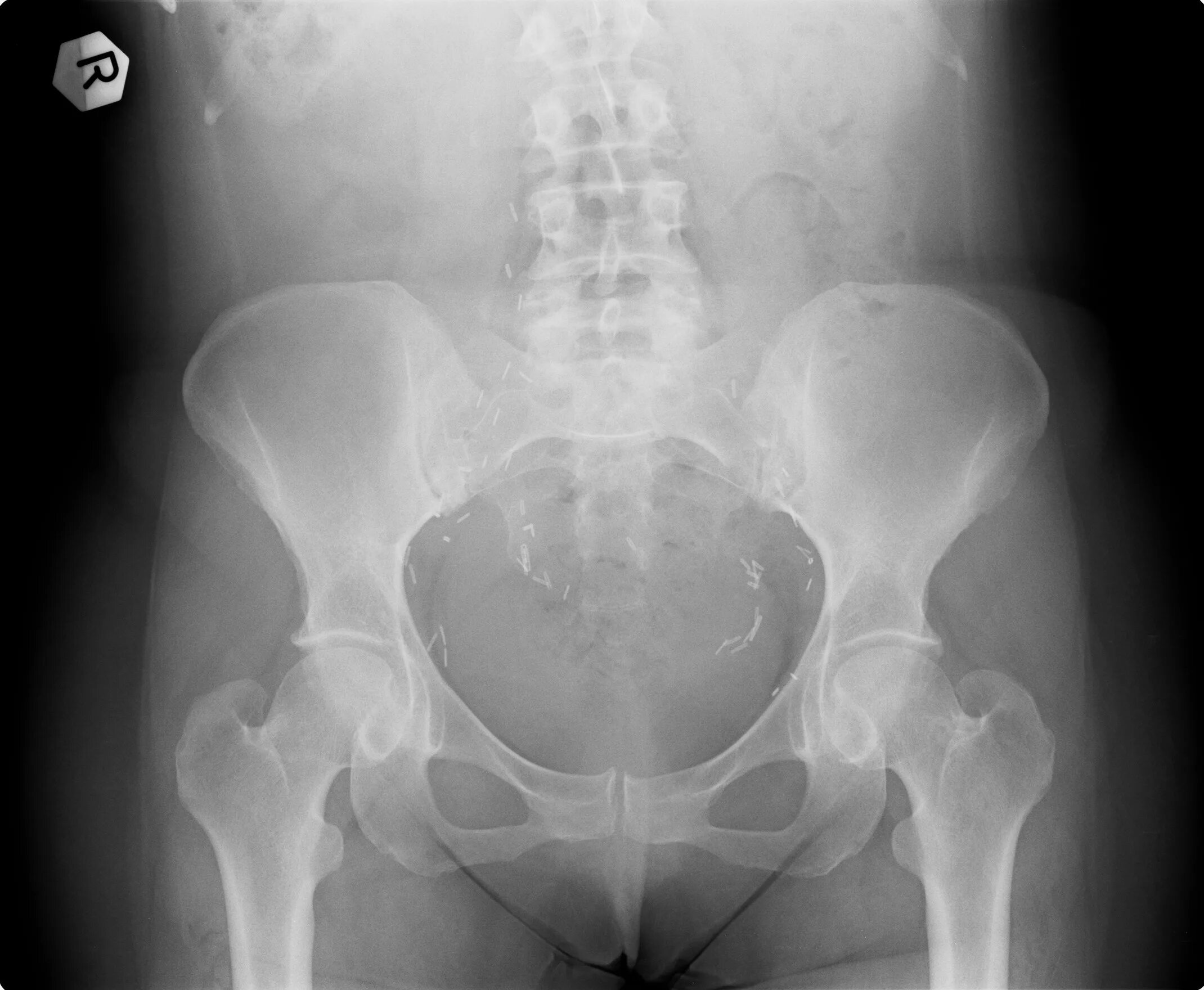
Как прочитать снимок