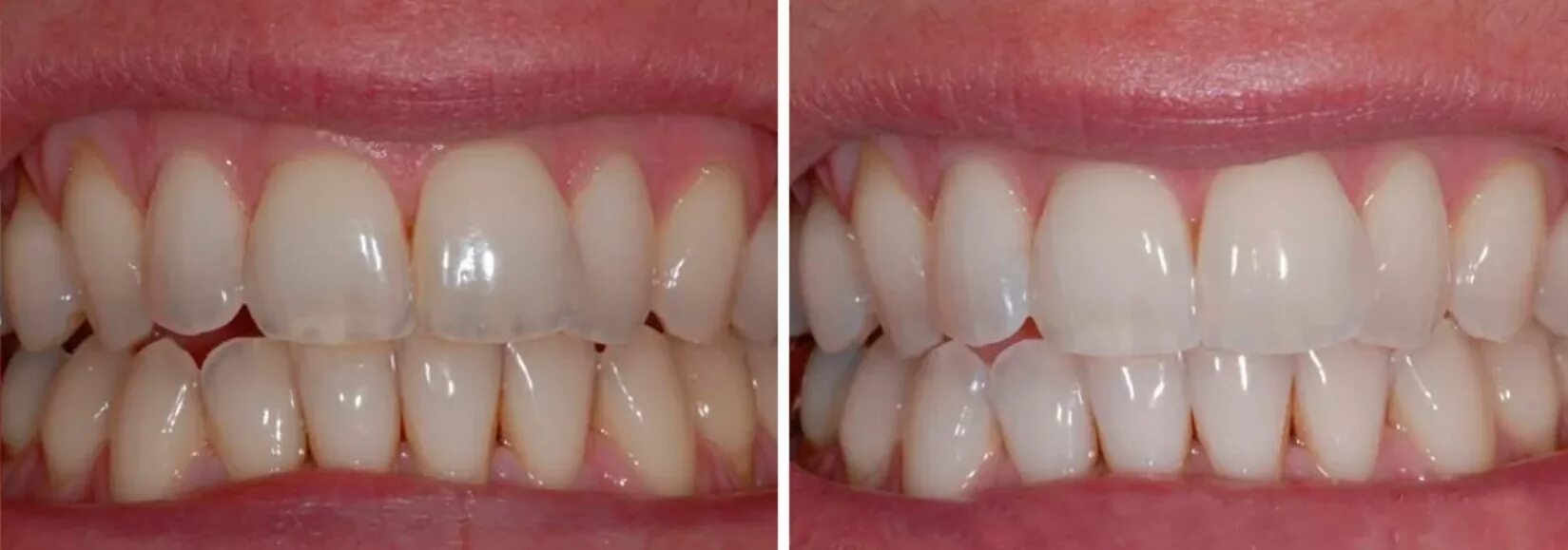
Как восстановить эмаль