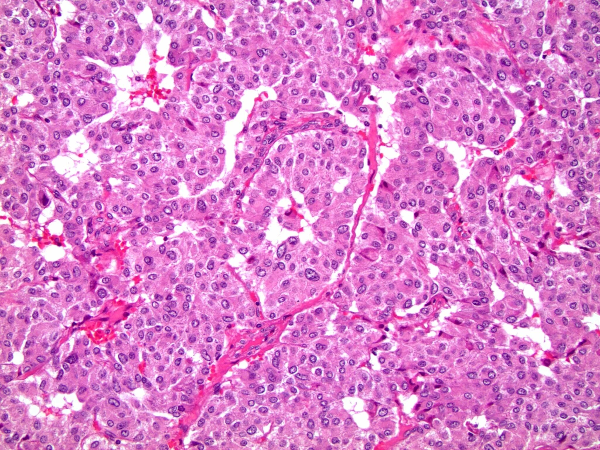
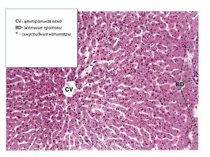
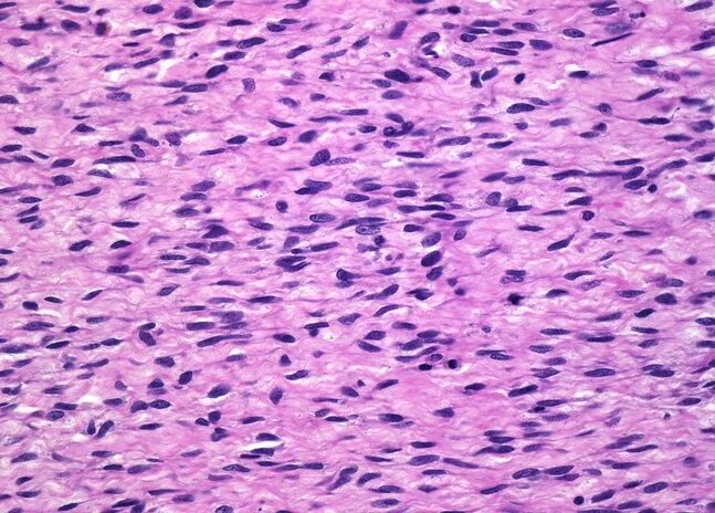
Как выглядит гистология